
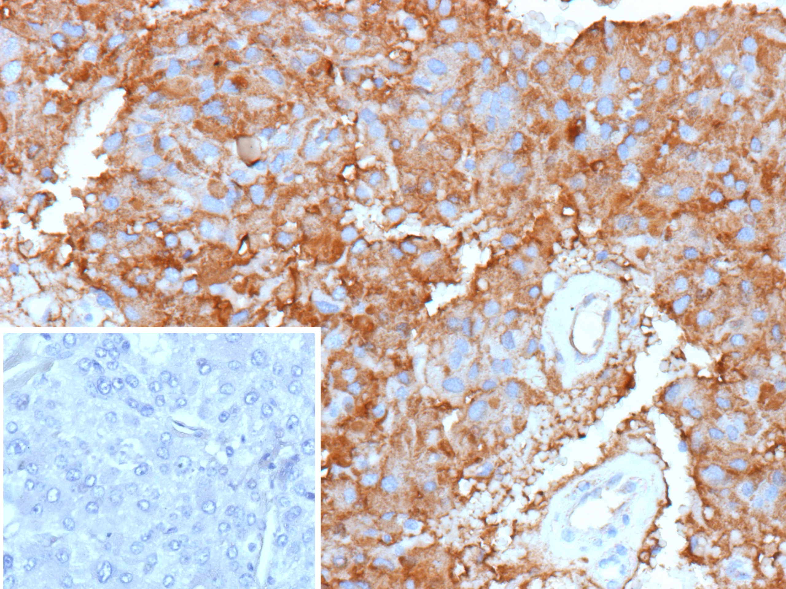
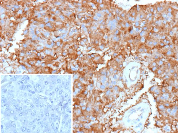
Formalin-fixed, paraffin-embedded human adrenal gland stained with Clusterin Recombinant Mouse Monoclonal Antibody (r7D1). Inset: PBS instead of primary antibody; secondary only negative control.

Western blot analysis of human tonsil tissue lysate using Clusterin / APOJ Recombinant Mouse Monoclonal Antibody (r7D1).
Clusterin, also known as apolipoprotein J (ApoJ), complement lysis inhibitor (CLI), gp80, glycoprotein III, sulfated glycoprotein 2 (SGP2), SP40-40, testosterone-repressed prostate message 2 (TRPM2), and T64, is a secretory, heterodimeric glycoprotein of approximately 80 kD composed of two disulfide-linked subunits, alpha (residues 228–449) and beta (residues 23–227). It is synthesized as a 449-amino acid polypeptide and post-translationally cleaved at an internal bond between Arg 227 and Ser 228. Clusterin interacts with a broad range of molecules and plays a role in diverse biological processes, including immune regulation, lipid transport, sperm maturation, complement cascade regulation, membrane recycling, cell adhesion, morphological transformation, tissue remodeling, and cell-cell interactions. It also influences β-amyloid structure and neuritic toxicity in vivo, suggesting a potential role in Alzheimer’s disease pathogenesis. Notably, Clusterin overexpression is more common in the late stages of mammary tumor progression.
There are no reviews yet.