
SDS-PAGE Analysis of Purified Prolactin Receptor Recombinant Rabbit Monoclonal (PRLR3785R). Confirmation of Integrity and Purity of Antibody.

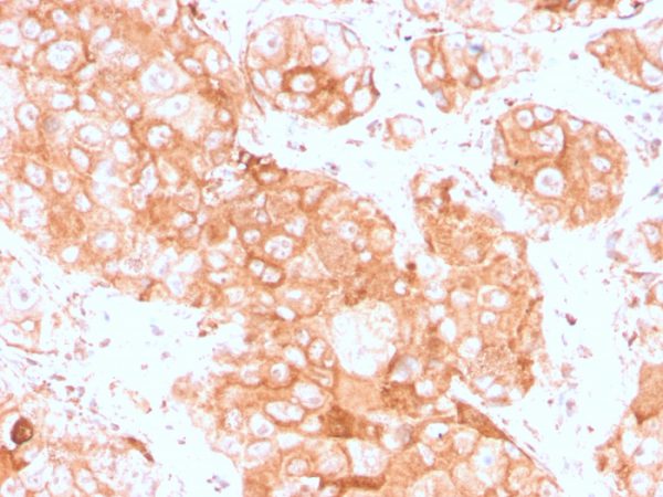
Formalin-fixed, paraffin-embedded human testicular carcinoma stained with Prolactin Receptor Recombinant Rabbit Monoclonal (PRLR3785R).
It recognizes a protein of 70kDa, identified as prolactin receptor. Prolactin is a pituitary hormone involved in the stimulation of milk production, salt and water regulation, growth, development and reproduction. The initial step in its action is the binding to a specific membrane receptor (prolactin receptor), which belongs to the superfamily of class 1 cytokine receptors. The function of the prolactin receptor is mediated, at least in part, by two families of signaling molecules: Janus kinases and signal transducers and activators of transcription.
There are no reviews yet.