PLA2R1 / Phospholipase A2 Receptor 1 Antibody [PLA2R1/4897]

In Stock
Catalog Number Formulation Size Price
22925-MSM7-P0
Purified Ab with BSA and Azide at 200ug/ml
20ug
$259.00
22925-MSM7-P1
Purified Ab with BSA and Azide at 200ug/ml
100ug
$559.00
22925-MSM7-P1ABX
Purified Ab WITHOUT BSA and Azide at 1.0mg/ml
100ug
$559.00
Flat Rate Domestic: $95 | Orders outside the US - Contact Us for Order Information | Ships next business day

Applications & Dilutions

Applications Tested Dillution Protocol Note
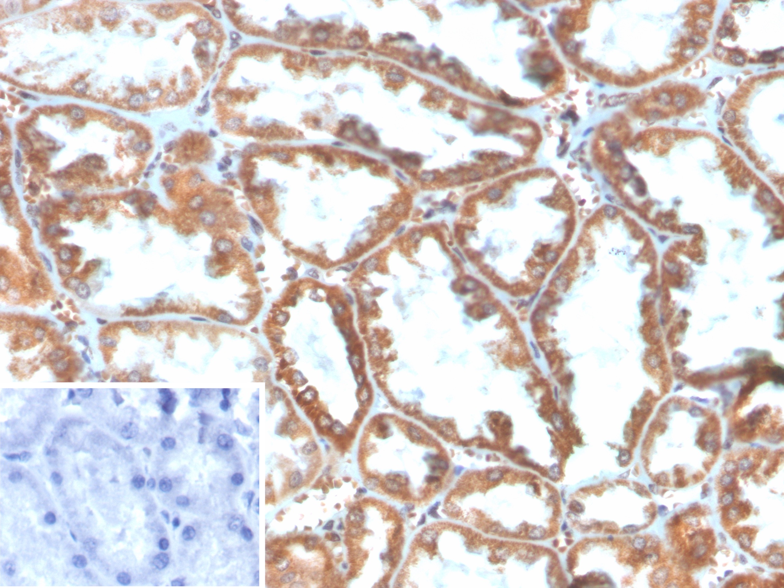
Immunohistochemistry (IHC)
1-2ug/ml
30 min at RT. Staining of formalin-fixed tissues requires heating tissue sections in 10mM Tris with 1mM EDTA, pH 9.0, for 45 min at 95°C followed by cooling at RT for 20 minutes

Summary

This gene represents a phospholipase A2 receptor. The encoded protein likely exists as both a transmembrane form and a soluble form. The transmembrane receptor may play a role in clearance of phospholipase A2, thereby inhibiting its action. Polymorphisms at this locus have been associated with susceptibility to idiopathic membranous nephropathy. Alternatively spliced transcript variants encoding different isoforms have been identified.

Product Properties & Targets

Antibody Type
Host
Mouse
Applications
Species Reactivity
Research Areas
Isotype / Light Chain
IgG1 / Kappa
Cellular Localization
Cell membrane, Secreted
Gene Name
Positive Control
Human kidney.
Immunogen
Recombinant fragment (around aa300-600) of human PLA2R1 protein (exact sequence is proprietary)
Alternate Names
secretory phospholipase A2 receptor, 180 kDa secretory phospholipase A2 receptor antibody; C-type lectin domain family 13 member C antibody; CLEC13C antibody; M type receptor antibody; M-type receptor antibody; Phospholipase A2 receptor 1 antibody; PLA2 R antibody; PLA2-R antibody; PLA2G1R antibody; PLA2IR antibody; PLA2R antibody; PLA2R_HUMAN antibody; PLA2R1 antibody; Soluble PLA2-R antibody; Soluble PLA2R antibody; Soluble secretory phospholipase A2 receptor antibody, PLA2R; PLA2-R; PLA2IR; CLEC13C; PLA2G1R

Database Links

Entrez Gene ID
SwissProt

Additional Information

Clone
PLA2R1/4897
Chromosome Location
2q24.2
Mol. Weight of Antigen
180kDa

Functions

  • Receptor for secretory phospholipase A2 (sPLA2). Acts as a receptor for phosholipase sPLA2-IB/PLA2G1B but not sPLA2-IIA/PLA2G2A. Also able to bind to snake PA2-like toxins. Although its precise function remains unclear, binding of sPLA2 to its receptor participates in both positive and negative regulation of sPLA2 functions as well as clearance of sPLA2. Binding of sPLA2-IB/PLA2G1B induces various effects depending on the cell type, such as activation of the mitogen-activated protein kinase (MAPK) cascade to induce cell proliferation, the production of lipid mediators, selective release of arachidonic acid in bone marrow-derived mast cells. In neutrophils, binding of sPLA2-IB/PLA2G1B can activate p38 MAPK to stimulate elastase release and cell adhesion. May be involved in responses in proinflammatory cytokine productions during endotoxic shock. Also has endocytic properties and rapidly internalizes sPLA2 ligands, which is particularly important for the clearance of extracellular sPLA2s to protect their potent enzymatic activities. The soluble secretory phospholipase A2 receptor form is circulating and acts as a negative regulator of sPLA2 functions by blocking the biological functions of sPLA2-IB/PLA2G1B.

Key References

  • Gu Y, Xu H, Tang D. Mechanisms of Primary Membranous Nephropathy
  • Alsharhan L, Beck LH Jr. Membranous Nephropathy
  • Yahfoufi N, Alsadi N, Jambi M, Matar C.

Storage & Stability

Antibody with azide - store at 2 to 8 °C. Antibody without azide - store at -20 to -80 °C. Antibody is stable for 24 months. Non-hazardous. No MSDS required.

Limitations

This antibody is available for research use only and is not approved for use in diagnosis.

Supplied as

200ug/ml of Ab purified from Bioreactor Concentrate by Protein A/G. Prepared in 10mM PBS with 0.05% BSA & 0.05% azide. Also available WITHOUT BSA & azide at 1.0mg/ml.

Warranty

There are no warranties, expressed or implied, which extend beyond this description. Company is not liable for any personal injury or economic loss resulting from this product.

Reviews

There are no reviews yet.

Be the first to review “PLA2R1 / Phospholipase A2 Receptor 1 Antibody”

Your email address will not be published. Required fields are marked *

PARTNERSHIP OPPORTUNITIES

NeoBiotechnologies holds Exclusive rights to 10,000 recombinant and hybridoma antibody products, available for Licensing or Collaboration.

LETS TALK