
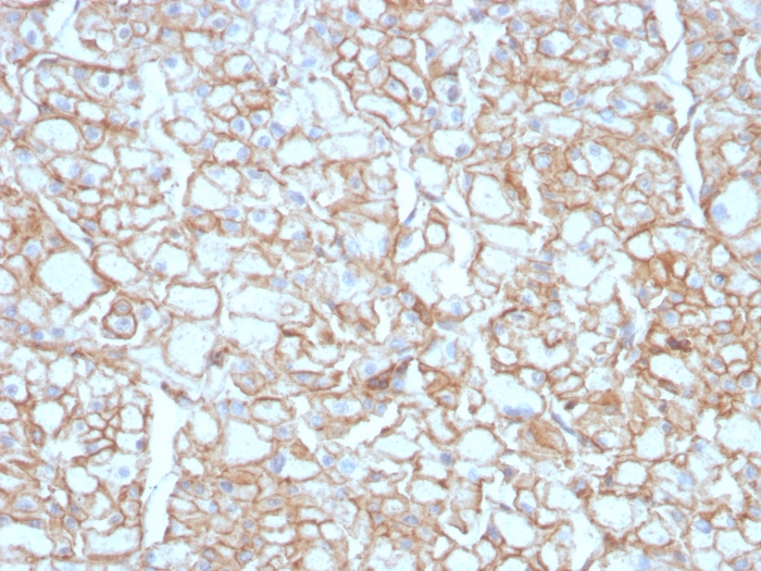
Formalin-fixed, paraffin-embedded human Lung SqCC stained with PD-L1 Recombinant Rabbit Monoclonal Antibody (PDL1/4451R).

Formalin-fixed, paraffin-embedded human Lung SqCC stained with PD-L1 Recombinant Rabbit Monoclonal Antibody (PDL1/4451R).
PD-L1 is a checkpoint regulator in immune cells, it is expressed on immune or non-hematopoietic cells. Expression of the protein is seen during pregnancy where it has a role in suppressing the immune system. PD-L1 induces an inhibitory signal in activated T-cells and promotes T-cell apoptosis. It is overexpressed in a number of different cancers where it is believed to play a significant role in the cancer s ability to evade the immune system.
There are no reviews yet.