Recombinant p21WAF1 (Tumor Suppressor Protein) Antibody [CIP1/2275R]

In Stock
Catalog Number Formulation Size Price
1026-RBM7-P0
Purified Ab with BSA and Azide at 200ug/ml
20ug
$259.00
1026-RBM7-P1
Purified Ab with BSA and Azide at 200ug/ml
100ug
$559.00
1026-RBM7-P1ABX
Purified Ab WITHOUT BSA and Azide at 1.0mg/ml
100ug
$559.00
Flat Rate Domestic: $95 | Orders outside the US - Contact Us for Order Information | Ships next business day

Applications & Dilutions

Applications Tested Dillution Protocol Note
Immunohistochemistry (IHC)
1-2ug/ml
30 min at RT. Staining of formalin-fixed tissues requires heating tissue sections in 10mM Tris with 1mM EDTA, pH 9.0, for 45 min at 95°C followed by cooling at RT for 20 minutes
Western Blot (WB)
2-4ug/ml

Summary

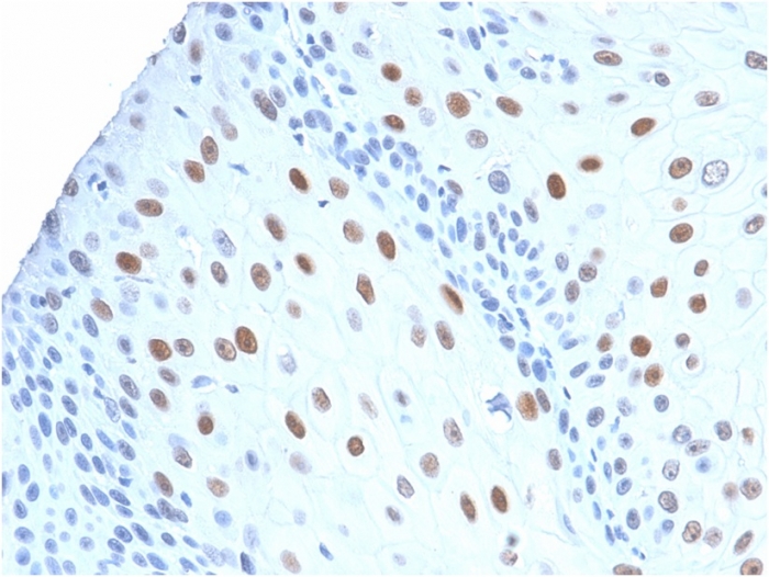
This MAb recognizes a 21kDa protein, identified as the p21WAF1 tumor suppressor protein. This MAb is highly specific to p21 and shows no cross-reaction with other closely related mitotic inhibitors. p21WAF1 is a specific inhibitor of cdk’s and a tumor suppressor involved in the pathogenesis of a variety of malignancies. The expression of this gene acts as an inhibitor of the cell cycle during G1 phase and is tightly controlled by the tumor suppressor protein p53. Its expression is induced by the wild type, but not mutant, p53 suppressor protein. Normal cells generally display a rather intense nuclear p21 expression. Loss of p21 expression has been reported in many carcinomas (gastric carcinoma, non-small cell lung carcinoma, thyroid carcinoma).

Product Properties & Targets

Host
Rabbit
Species Reactivity
Isotype / Light Chain
IgG / Kappa
Cellular Localization
Cytoplasm, Nucleus
Gene Name
Positive Control
colon or breast carcinoma., HeLa cells. Skin
Immunogen
Recombinant full-length human CDKN1A protein
Alternate Names
Cyclin-dependent kinase inhibitor 1, CDK-interacting protein 1, Melanoma differentiation-associated protein 6, p21, Activating Fragment 1, CAP20, CDK-interacting protein 1, CDKI, CDKN1, CDKN1A, CIP1, Cyclin-dependent kinase inhibitor 1A (p21, Cip1), DNA Synthesis Inhibitor, MDA6, Melanoma Differentiation Associated Protein 6, p21Cip1/Waf1, PIC1, SDI1, SLC12A9, Wild type p53 activated fragment 1 (WAF1)

Database Links

Entrez Gene ID
SwissProt

Additional Information

Clone
CIP1/2275R
Chromosome Location
6p21.31
Mol. Weight of Antigen
21kDa

Functions

  • May be involved in p53/TP53 mediated inhibition of cellular proliferation in response to DNA damage. Binds to and inhibits cyclin-dependent kinase activity, preventing phosphorylation of critical cyclin-dependent kinase substrates and blocking cell cycle progression. Functions in the nuclear localization and assembly of cyclin D-CDK4 complex and promotes its kinase activity towards RB1. At higher stoichiometric ratios, inhibits the kinase activity of the cyclin D-CDK4 complex. Inhibits DNA synthesis by DNA polymerase delta by competing with POLD3 for PCNA binding (PubMed:11595739). Plays an important role in controlling cell cycle progression and DNA damage-induced G2 arrest (PubMed:9106657).

Key References

  • Harper, J.W., et al. 1993. The p21 Cdk-interacting protein Cip1 is a potent inhibitor of G1 cyclin-dependent kinases. Cell 75: 805-816.

Storage & Stability

Antibody with azide - store at 2 to 8°C. Antibody without azide - store at -20 to -80°C. Antibody is stable for 24 months. Non-hazardous. No MSDS required.

Limitations

This antibody is available for research use only and is not approved for use in diagnosis.

Supplied as

200ug/ml of Ab Purified from Bioreactor Concentrate by Protein A/G. Prepared in 10mM PBS with 0.05% BSA & 0.05% azide. Also available WITHOUT BSA & azide at 1.0mg/ml.

Warranty

There are no warranties, expressed or implied, which extend beyond this description. Company is not liable for any personal injury or economic loss resulting from this product.

Reviews

There are no reviews yet.

Be the first to review “Recombinant p21WAF1 (Tumor Suppressor Protein) Antibody”

Your email address will not be published. Required fields are marked *

PARTNERSHIP OPPORTUNITIES

NeoBiotechnologies holds Exclusive rights to 10,000 recombinant and hybridoma antibody products, available for Licensing or Collaboration.

LETS TALK