Neurofilament (H+L) (Neuronal Marker) Antibody [RT-97 + NR-4]

In Stock
Catalog Number Formulation Size Price
MSM2-1201-P0
Purified Ab with BSA and Azide at 200ug/ml
20ug
$259.00
MSM2-1201-P1
Purified Ab with BSA and Azide at 200ug/ml
100ug
$559.00
MSM2-1201-P1ABX
Purified Ab WITHOUT BSA and Azide at 1.0mg/ml
100ug
$559.00
Flat Rate Domestic: $95 | Orders outside the US - Contact Us for Order Information | Ships next business day

Applications & Dilutions

Applications Tested Dillution Protocol Note
Flow Cytometry (Flow)
1-2ug/million cells
Immunohistochemistry (IHC)
1-2ug/ml
30 min at RT. Staining of formalin-fixed tissues requires heating tissue sections in 10mM Tris with 1mM EDTA, pH 9.0, for 45 min at 95°C followed by cooling at RT for 20 minutes

Summary

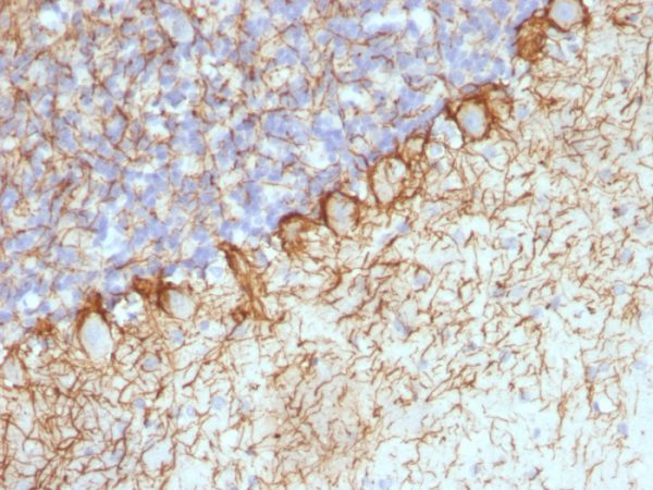
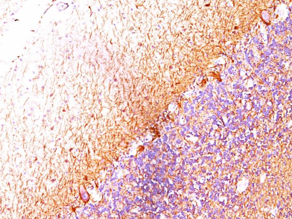
This MAb reacts with a 200kDa and 68kDa protein, identified as heavy and light sub-units of neurofilaments (NF-H NF-L). Neurofilaments make up the main structural elements of axons and dendrites and are found in neurons, peripheral nerves, and sympathetic ganglion cells. Neurofilaments consist of three major subunits with molecular weights of 68kDa (NF-L), 160kDa (NF-M) and 200kDa (NF-H). Anti-neurofilament stains a number of neural, neuroendocrine, and endocrine tumors. Neuromas, ganglioneuromas, gangliogliomas, ganglioneuroblastomas, and neuroblastomas stain positively for anti-neurofilament. Neurofilaments are also present in paragangliomas as well as adrenal and extra-adrenal pheochromocytomas. Carcinoids, neuroendocrine carcinomas of the skin, and oat cell carcinomas of the lung also express neurofilament.

Product Properties & Targets

Antibody Type
Host
Mouse
Species Reactivity
Research Areas
Isotype / Light Chain
IgG1 / Kappa
Cellular Localization
Axon, Cell projection, Cytoplasm, Cytoskeleton
Gene Name
Positive Control
HEK293 cells; Cerebellum, Neuroblastoma.
Immunogen
Triton-X 100 insoluble proteins of rat brain (RT-97); Neurofilaments from porcine spinal cord (NR-4)
Alternate Names
Neurofilament heavy polypeptide, 200 kDa neurofilament protein, Neurofilament triplet H protein, NEFH; Neurofilament H; Neurofilament Heavy Polypeptide 200kDa; Neurofilament Triplet H Protein; NF-H; NF200. 68kDa neurofilament protein, Light molecular weight neurofilament protein, NEFL, Neurofilament light polypeptide 68kDa, Neurofilament light polypeptide, Neurofilament protein, light chain, Neurofilament subunit NF-L, Neurofilament triplet L protein, NF-L, NF68

Database Links

Entrez Gene ID
SwissProt

Additional Information

Clone
RT-97 + NR-4
Chromosome Location
22q12.2 (NEFH) & 8p21.2 (NEFL)
Mol. Weight of Antigen
200kDa & 68kDa

Functions

  • Neurofilaments usually contain three intermediate filament proteins: NEFL, NEFM, and NEFH which are involved in the maintenance of neuronal caliber. NEFH has an important function in mature axons that is not subserved by the two smaller NF proteins. May additionally cooperate with the neuronal intermediate filament proteins PRPH and INA to form neuronal filamentous networks (By similarity).

Key References

  • Ishii M et. al. Fukushima J Med Sci. 2004;50(2):65-74.
  • Angelides, K.J., et. al. 1989. J. Cell Biol. 108: 1495-1506.

Storage & Stability

Antibody with azide - store at 2 to 8°C. Antibody without azide - store at -20 to -80°C. Antibody is stable for 24 months. Non-hazardous. No MSDS required.

Limitations

This antibody is available for research use only and is not approved for use in diagnosis.

Supplied as

200ug/ml of Ab Purified from Bioreactor Concentrate. Prepared in 10mM PBS with 0.05% BSA & 0.05% azide. Also available WITHOUT BSA & azide at 1.0mg/ml.

Warranty

There are no warranties, expressed or implied, which extend beyond this description. Company is not liable for any personal injury or economic loss resulting from this product.

Reviews

There are no reviews yet.

Be the first to review “Neurofilament (H+L) (Neuronal Marker) Antibody”

Your email address will not be published. Required fields are marked *

PARTNERSHIP OPPORTUNITIES

NeoBiotechnologies holds Exclusive rights to 10,000 recombinant and hybridoma antibody products, available for Licensing or Collaboration.

LETS TALK