
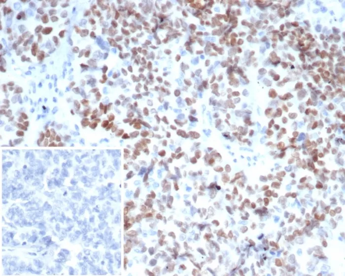
Formalin-fixed, paraffin-embedded human ovarian carcinoma stained with MEIS2 Mouse Monoclonal Antibody (PCRP-MEIS2-2B3). Inset: PBS instead of primary antibody; secondary only negative control.

Flow cytometric analysis of PFA-fixed HeLa cells. MEIS2 Mouse Monoclonal Antibody (PCRP-MEIS2-2B3) followed by goat anti-mouse IgG-CF488 (blue); isotype control (red).

Analysis of Protein Array containing more than 19,000 full-length human proteins using MEIS2 Mouse Monoclonal Antibody (PCRP-MEIS2-2B3). Z- and S- Score: The Z-score represents the strength of a signal that a monoclonal antibody (MAb) (in combination with a fluorescently-tagged anti-IgG secondary antibody) produces when binding to a particular protein on the HuProtTM array. Z-scores are described in units of standard deviations (SD's) above the mean value of all signals generated on that array. If targets on HuProtTM are arranged in descending order of the Z-score, the S-score is the difference (also in units of SD's) between the Z-score. S-score therefore represents the relative target specificity of a MAb to its intended target. A MAb is considered to specific to its intended target, if the MAb has an S-score of at least 2.5. For example, if a MAb binds to protein X with a Z-score of 43 and to protein Y with a Z-score of 14, then the S-score for the binding of that MAb to protein X is equal to 29.
This gene encodes a homeobox protein belonging to the TALE ('three amino acid loop extension') family of homeodomain-containing proteins. TALE homeobox proteins are highly conserved transcription regulators, and several members have been shown to be essential contributors to developmental programs. Multiple transcript variants encoding distinct isoforms have been described for this gene.
There are no reviews yet.