Recombinant INSM1 (Pan-Neuroendocrine Marker) Antibody [INSM1/8122R]

In Stock
Catalog Number Formulation Size Price
3642-RBM10-P0
Purified Ab with BSA and Azide at 200ug/ml
20ug
$259.00
3642-RBM10-P1
Purified Ab with BSA and Azide at 200ug/ml
100ug
$559.00
3642-RBM10-P1ABX
Purified Ab WITHOUT BSA and Azide at 1.0mg/ml
100ug
$559.00
Flat Rate Domestic: $95 | Orders outside the US - Contact Us for Order Information | Ships next business day

Applications & Dilutions

Applications Tested Dillution Protocol Note
Immunohistochemistry (IHC)
1-2ug/ml
30 min at RT. Staining of formalin-fixed tissues requires heating tissue sections in 10mM Tris with 1mM EDTA, pH 9.0, for 45 min at 95°C followed by cooling at RT for 20 minutes

Summary

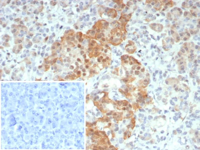
Insulinoma-associated protein 1 (INSM1) is a developmentally regulated zinc-finger transcription factor. It localizes to the nucleus and is expressed in embryonic issues undergoing neuroendocrine differentiation.INSM1 is not expressed in normal adult tissues but can be found highly expressed in neuroendocrine tumors. INSM1 is positive in 95% of lung small cell carcinoma and 91% of lung large cell neuroendocrine carcinoma, compared with 75% and 78% with the combined panel of traditional neuroendocrine markers (synaptophysin, chromogranin, and CD56).INSM1 stains 100% of the atypical carcinoids, typical carcinoids and paragangliomas, but only 3% of adenocarcinomas and 4% of squamous cell carcinomas. Therefore, INSM1 is sensitive and specific to be a single first-line pan-neuroendocrine marker.

Product Properties & Targets

Host
Rabbit
Applications
Species Reactivity
Research Areas
Isotype / Light Chain
IgG / Kappa
Cellular Localization
Nucleus.
Gene Name
Positive Control
Human pancreas or neuroendocrine tumor.
Immunogen
Recombinant fragment (around aa1-300) of human INSM1 (exact sequence is proprietary)
Alternate Names
Insulinoma-associated protein 1, Zinc finger protein IA-1, IA1; Insulinoma associated protein 1 (IA1); Zinc finger protein IA1

Database Links

Entrez Gene ID
SwissProt

Additional Information

Clone
INSM1/8122R
Chromosome Location
20p11.23
Mol. Weight of Antigen
58kDa

Functions

  • Sequence-specific DNA-binding transcriptional regulator that plays a key role in neurogenesis and neuroendocrine cell differentiation during embryonic and/or fetal development. Binds to the consensus sequence 5'-[TG][TC][TC][TT][GA]GGG[CG]A-3' in target promoters. Acts as a transcriptional repressor of NEUROD1 and INS expression via its interaction with cyclin CCND1 in a cell cycle-independent manner. Negatively regulates skeletal muscle-specific gene expression in endocrine cells of the pituitary by inhibiting the Notch signaling pathway. Represses target gene transcription by recruiting chromatin-modifying factors, such as HDAC1, HDAC2, HDAC3, KDM1A and RCOR1 histone deacetylases. Binds to its own promoter, suggesting autoregulation as a self-control feedback mechanism. Competes with histone H3 for the same binding site on the histone demethylase complex formed by KDM1A and RCOR1, and thereby inhibits demethylation of histone H3 at 'Lys-4' (PubMed:23721412). Promotes the generation and expansion of neuronal basal progenitor cells in the developing neocortex. Involved in the differentiation of endocrine cells of the developing anterior pituitary gland, of the pancreas and intestine, and of sympatho-adrenal cells in the peripheral nervous system. Promotes cell cycle signaling arrest and inhibition of cellular proliferation.

Key References

  • Rosenbaum JN, et al. Am J Clin Pathol. 2015;144(4):579-91.
  • Rooper LM, et al. Am J Surg Pathol. 2017;41:1561-1569.

Storage & Stability

Antibody with azide - store at 2 to 8°C. Antibody without azide - store at -20 to -80°C.Antibody is stable for 24 months. Non-hazardous. No MSDS required.

Limitations

This antibody is available for research use only and is not approved for use in diagnosis.

Supplied as

200ug/ml of Ab purified from Bioreactor Concentrate by Protein A/G. Prepared in 10mM PBS with 0.05% BSA & 0.05% azide. Also available WITHOUT BSA & azide at 1.0mg/ml.

Warranty

There are no warranties, expressed or implied, which extend beyond this description. Company is not liable for any personal injury or economic loss resulting from this product.

Reviews

There are no reviews yet.

Be the first to review “Recombinant INSM1 (Pan-Neuroendocrine Marker) Antibody”

Your email address will not be published. Required fields are marked *

PARTNERSHIP OPPORTUNITIES

NeoBiotechnologies holds Exclusive rights to 10,000 recombinant and hybridoma antibody products, available for Licensing or Collaboration.

LETS TALK