Recombinant IgA (Immunoglobulin Alpha Heavy Chain) (B-Cell Marker) Antibody [rHISA43]

In Stock
Catalog Number Formulation Size Price
3493-MSM3-P0
Purified Ab with BSA and Azide at 200ug/ml
20ug
$259.00
3493-MSM3-P1
Purified Ab with BSA and Azide at 200ug/ml
100ug
$559.00
3493-MSM3-P1ABX
Purified Ab WITHOUT BSA and Azide at 1.0mg/ml
100ug
$559.00
Flat Rate Domestic: $95 | Orders outside the US - Contact Us for Order Information | Ships next business day

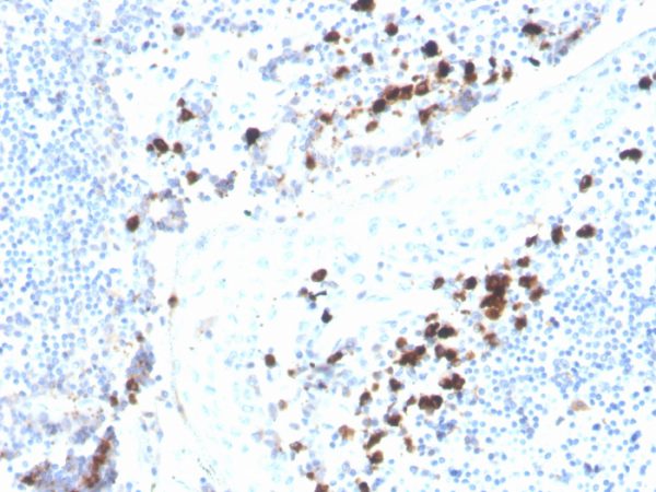
Applications & Dilutions

Applications Tested Dillution Protocol Note
Immunohistochemistry (IHC)
1-2ug/ml
30 min at RT. Staining of formalin-fixed tissues requires heating tissue sections in 10mM Tris with 1mM EDTA, pH 9.0, for 45 min at 95°C followed by cooling at RT for 20 minutes
Western Blot (WB)
2-4ug/ml

Summary

This MAb is specific to heavy chain of IgA and shows minimal cross-reaction with heavy chains of other immunoglobulins. It is reactive with both IgA1 and IgA2 subclasses of Alpha heavy chain. It reacts with the third constant domain (CH3) of the alpha chain of IgA molecules. Immunoglobulins are four-chain, Y-shaped, monomeric structures comprised of two identical heavy chains and two identical light chains held together through inter-chain disulfide bonds. The chains form two domains, the Fab (antigen binding) fragment and the Fc (constant) fragment. Immunoglobulin A (IgA) is the main protein of the mucosal immune system. It is generated by B-cells in gut-associated lymphoid tissues. Daily production of IgA exceeds that of any of the other immunoglobulins.IgA exists mainly in dimers but can also exist as polymers or as monomers. Dimers and polymers contain a joining (J) chain that can be bound by the polymeric immunoglobulin receptor (pIgR) for transportation of the molecule to mucosal surfaces. The most common feature of plasmacytomas, and certain non-Hodgkin s lymphomas is the restricted expression of a single heavy chain class. Demonstration of clonality in lymphoid infiltrates indicates that the infiltrate is clonal and therefore malignant.

Product Properties & Targets

Host
Mouse
Species Reactivity
Isotype / Light Chain
IgG1 / Kappa
Cellular Localization
Cell membrane, Secreted
Gene Name
Positive Control
293T, Daudi, Raji or hPBL cells. Tonsil or Spleen. Human Serum
Immunogen
Recombinant full-length human IGHA1 and IGHA2 proteins
Alternate Names
Immunoglobulin heavy constant alpha 1, Ig alpha-1 chain C region, Ig alpha-1 chain C region BUR, Ig alpha-1 chain C region TRO, A2m Marker; Ig alpha 1 Chain C Region; Ig alpha 2 Chain C Region; IGHA1; IGHA2; Immunoglobulin Am1; Immunoglobulin Am2; Immunoglobulin Heavy Constant Alpha 1; Immunoglobulin Heavy Constant Alpha 2

Database Links

Additional Information

Clone
rHISA43
Chromosome Location
14q32.33
Mol. Weight of Antigen
50-75kDa

Functions

  • Constant region of immunoglobulin heavy chains. Immunoglobulins, also known as antibodies, are membrane-bound or secreted glycoproteins produced by B lymphocytes. In the recognition phase of humoral immunity, the membrane-bound immunoglobulins serve as receptors which, upon binding of a specific antigen, trigger the clonal expansion and differentiation of B lymphocytes into immunoglobulins-secreting plasma cells. Secreted immunoglobulins mediate the effector phase of humoral immunity, which results in the elimination of bound antigens (PubMed:22158414, PubMed:20176268). The antigen binding site is formed by the variable domain of one heavy chain, together with that of its associated light chain. Thus, each immunoglobulin has two antigen binding sites with remarkable affinity for a particular antigen. The variable domains are assembled by a process called V-(D)-J rearrangement and can then be subjected to somatic hypermutations which, after exposure to antigen and selection, allow affinity maturation for a particular antigen (PubMed:17576170, PubMed:20176268). Ig alpha is the major immunoglobulin class in body secretions (PubMed:2241915).

Key References

  • Biewenga J. et al. Adv. Exp. Med. Biol. 216B: 1239 1249 (1987).
  • Mestecky J. et al. J. Immunol. Meth. 193: 103 148 (1996).

Storage & Stability

Antibody with azide - store at 2 to 8 °C. Antibody without azide - store at -20 to -80 °C. Antibody is stable for 24 months. Non-hazardous. No MSDS required.

Limitations

This antibody is available for research use only and is not approved for use in diagnosis.

Supplied as

200ug/ml of Ab produced in HEK293 cell mammalian-based expression system. Prepared in 10mM PBS with 0.05% BSA & 0.05% azide. Also available WITHOUT BSA & azide at 1.0mg/ml.

Warranty

There are no warranties, expressed or implied, which extend beyond this description. Company is not liable for any personal injury or economic loss resulting from this product.

Reviews

There are no reviews yet.

Be the first to review “Recombinant IgA (Immunoglobulin Alpha Heavy Chain) (B-Cell Marker) Antibody”

Your email address will not be published. Required fields are marked *

PARTNERSHIP OPPORTUNITIES

NeoBiotechnologies holds Exclusive rights to 10,000 recombinant and hybridoma antibody products, available for Licensing or Collaboration.

LETS TALK