
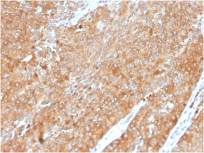
Formalin-fixed, paraffin-embedded human pancreas stained with HSP90AB1 Mouse Monoclonal Antibody (HSP90AB1/3954).

Western blot analysis of MCF-7 cell lysate using HSP90AB1 Mouse Monoclonal Antibody (HSP90AB1/3954).

SDS-PAGE Analysis of Purified HSP90AB1 Mouse Monoclonal Antibody (HSP90AB1/3954). Confirmation of Purity and Integrity of Antibody.

Analysis of Protein Array containing more than 19,000 full-length human proteins using HSP90AB1 Mouse Monoclonal Antibody (HSP90AB1/3954). Z- and S- Score: The Z-score represents the strength of a signal that a monoclonal antibody (MAb) (in combination with a fluorescently-tagged anti-IgG secondary antibody) produces when binding to a particular protein on the HuProtTM array. Z-scores are described in units of standard deviations (SD's) above the mean value of all signals generated on that array. If targets on HuProtTM are arranged in descending order of the Z-score, the S-score is the difference (also in units of SD's) between the Z-score. S-score therefore represents the relative target specificity of a MAb to its intended target. A MAb is considered to specific to its intended target, if the MAb has an S-score of at least 2.5. For example, if a MAb binds to protein X with a Z-score of 43 and to protein Y with a Z-score of 14, then the S-score for the binding of that MAb to protein X is equal to 29.
This gene encodes a member of the heat shock protein 90 family; these proteins are involved in signal transduction, protein folding and degradation and morphological evolution. This gene encodes the constitutive form of the cytosolic 90 kDa heat-shock protein and is thought to play a role in gastric apoptosis and inflammation. Alternative splicing results in multiple transcript variants. Pseudogenes have been identified on multiple chromosomes.
There are no reviews yet.