
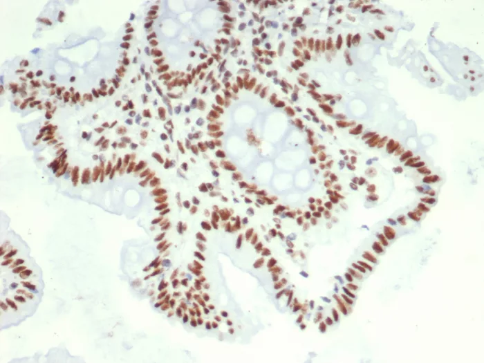
Formalin-fixed, paraffin-embedded human colon carcinoma stained with HDGF Mouse Monoclonal Antibody (PCRP-HDGF-1D1). HIER: Tris/EDTA, pH9.0, 45min. 2°C: HRP-polymer, 30min. DAB, 5min.

Flow cytometric analysis of PFA-fixed HeLa cells. HDGF Mouse Monoclonal Antibody (PCRP-HDGF-1D1) followed by goat anti-mouse IgG-CF488 (blue); unstained cells (red).

SDS-PAGE Analysis of Purified HDGF Mouse Monoclonal Antibody (PCRP-HDGF-1D1). Confirmation of Purity and Integrity of Antibody.

Analysis of Protein Array containing more than 19,000 full-length human proteins using HDGF Mouse Monoclonal Antibody (PCRP-HDGF-1D1). Z- and S- Score: The Z-score represents the strength of a signal that a monoclonal antibody (MAb) (in combination with a fluorescently-tagged anti-IgG secondary antibody) produces when binding to a particular protein on the HuProtTM array. Z-scores are described in units of standard deviations (SD's) above the mean value of all signals generated on that array. If targets on HuProtTM are arranged in descending order of the Z-score, the S-score is the difference (also in units of SD's) between the Z-score. S-score therefore represents the relative target specificity of a MAb to its intended target. A MAb is considered to specific to its intended target, if the MAb has an S-score of at least 2.5. For example, if a MAb binds to protein X with a Z-score of 43 and to protein Y with a Z-score of 14, then the S-score for the binding of that MAb to protein X is equal to 29.
This gene encodes a nuclear protein containing a SWIRM domain, a FAD-binding motif, and an amine oxidase domain. This protein is a component of several histone deacetylase complexes, though it silences genes by functioning as a histone demethylase. Alternative splicing results in multiple transcript variants. [provided by RefSeq, Apr 2009]
There are no reviews yet.