
Formalin-fixed, paraffin-embedded human placenta stained with Fodrin, alpha Mouse Monoclonal Antibody (SPTAN1/3506).

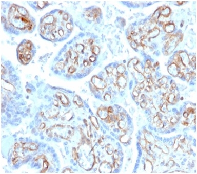
Formalin-fixed, paraffin-embedded human renal cell carcinoma stained with Fodrin, alpha Mouse Monoclonal Antibody (SPTAN1/3506).

SDS-PAGE Analysis of Purified Fodrin, alpha Mouse Monoclonal Antibody (SPTAN1/3506). Confirmation of Purity and Integrity of Antibody.

Analysis of Protein Array containing more than 19,000 full-length human proteins using Monospecific Mouse Monoclonal Antibody (SPTAN1/3506) to Fodrin, alpha. Z- and S- Score: The Z-score represents the strength of a signal that a monoclonal antibody (MAb) (in combination with a fluorescently-tagged anti-IgG secondary antibody) produces when binding to a particular protein on the HuProtTM array. Z-scores are described in units of standard deviations (SD's) above the mean value of all signals generated on that array. If targets on HuProtTM are arranged in descending order of the Z-score, the S-score is the difference (also in units of SD's) between the Z-score. S-score therefore represents the relative target specificity of a MAb to its intended target. A MAb is considered to specific to its intended target, if the MAb has an S-score of at least 2.5. For example, if a MAb binds to protein X with a Z-score of 43 and to protein Y with a Z-score of 14, then the S-score for the binding of that MAb to protein X is equal to 29.
Spectrin, an actin binding protein that is a major component of the cytoskeletal superstructure of the erythrocyte plasma membrane, is essential in determining the properties of the membrane including its shape and deformability. Spectrins function as membrane organizers and stabilizers, composed of nonhomologous 伪 and 尾 chains, which aggregate side-to-side in an antiparallel fashion to form dimers, tetramers, and higher polymers. Spectrin 伪 I and spectrin 尾 I are present in erythrocytes, whereas spectrin 伪 II (also designated fodrin 伪) and spectrin 尾 II (also designated fodrin 尾) are present in other somatic cells. The spectrin tetramers in erythrocytes act as barriers to lateral diffusion, but spectrin dimers seem to lack this function. Activation of calpain results in the breakdown of spectrin 伪 II, a neuronal cytoskeleton protein.
There are no reviews yet.