
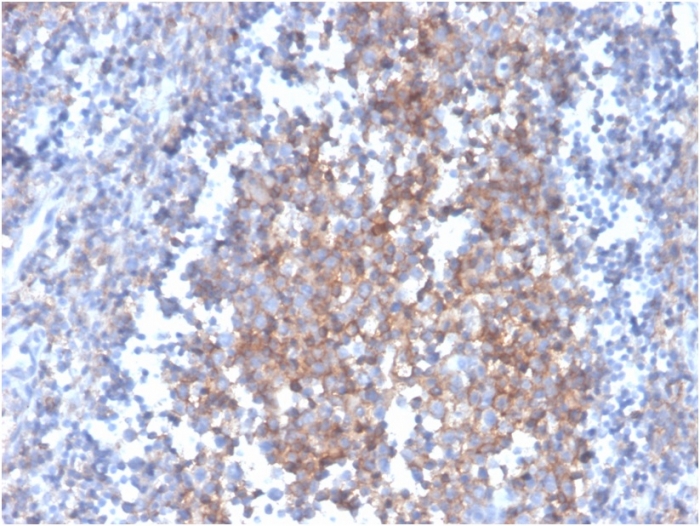
Formalin-fixed, paraffin-embedded human tonsil stained with Fas Ligand (FASLG) Mouse Monoclonal Antibody (FASLG/4455).

Formalin-fixed, paraffin-embedded human tonsil stained with Fas Ligand (FASLG) Mouse Monoclonal Antibody (FASLG/4455).

Analysis of Protein Array containing more than 19,000 full-length human proteins using Fas Ligand (FASLG) Mouse Monoclonal Antibody (FASLG/4455). Z- and S- Score: The Z-score represents the strength of a signal that a monoclonal antibody (MAb) (in combination with a fluorescently-tagged anti-IgG secondary antibody) produces when binding to a particular protein on the HuProtTM array. Z-scores are described in units of standard deviations (SD's) above the mean value of all signals generated on that array. If targets on HuProtTM are arranged in descending order of the Z-score, the S-score is the difference (also in units of SD's) between the Z-score. S-score therefore represents the relative target specificity of a MAb to its intended target. A MAb is considered to specific to its intended target, if the MAb has an S-score of at least 2.5. For example, if a MAb binds to protein X with a Z-score of 43 and to protein Y with a Z-score of 14, then the S-score for the binding of that MAb to protein X is equal to 29.
Cytotoxic T lymphocyte (CTL)-mediated cytotoxicity constitutes an importantcomponent of specific effector mechanisms in immuno-surveillance againstvirus-infected or transformed cells. Two mechanisms appear to account forthis activity, one of which is the perforin-based process. Independently, aFAS-based mechanism involves the transducing molecule FAS (also designated Apo-1) and its ligand (FAS-L). The human FAS protein is a cell surfaceglycoprotein that belongs to a family of receptors that includes CD40, nervegrowth factor receptors and tumor necrosis factor receptors. The FAS antigen is expressed on a broad range of lymphoid cell lines, certain of whichundergo apoptosis in response to treatment with antibody to FAS. Thesefindings strongly imply that targeted cell death is potentially mediated by the intercellular interactions of FAS with its ligand or effectors, and that FASmay be critically involved in CTL-mediated cytotoxicity.
There are no reviews yet.