
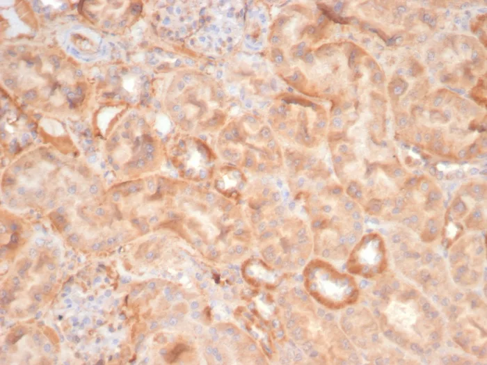
Formalin-fixed, paraffin-embedded dog kidney stained with EPH Receptor B4 (EPHB4) Mouse Monoclonal Antibody (EPHB4/6391). HIER: Tris/EDTA, pH9.0, 45min. 2°C: HRP-polymer, 30min. DAB, 5min.

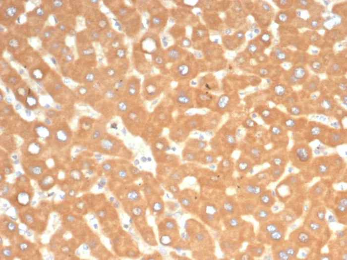
Formalin-fixed, paraffin-embedded human liver in colon stained with EPH Receptor B4 (EPHB4) Mouse Monoclonal Antibody (EPHB4/6391). HIER: Tris/EDTA, pH9.0, 45min. 2°C: HRP-polymer, 30min. DAB, 5min.

Formalin-fixed, paraffin-embedded cat kidney stained with EPH Receptor B4 (EPHB4) Mouse Monoclonal Antibody (EPHB4/6391). HIER: Tris/EDTA, pH9.0, 45min. 2°C: HRP-polymer, 30min. DAB, 5min.

Analysis of Protein Array containing more than 19,000 full-length human proteins using EPH Receptor B4 (EPHB4) Mouse Monoclonal (EPHB4/6391). Z- and S- Score: The Z-score represents the strength of a signal that a monoclonal antibody (MAb) (in combination with a fluorescently-tagged anti-IgG secondary antibody) produces when binding to a particular protein on the HuProtTM array. Z-scores are described in units of standard deviations (SD's) above the mean value of all signals generated on that array. If targets on HuProtTM are arranged in descending order of the Z-score, the S-score is the difference (also in units of SD's) between the Z-score. S-score therefore represents the relative target specificity of a MAb to its intended target. A MAb is considered to specific to its intended target, if the MAb has an S-score of at least 2.5. For example, if a MAb binds to protein X with a Z-score of 43 and to protein Y with a Z-score of 14, then the S-score for the binding of that MAb to protein X is equal to 29.
The Eph subfamily represents the largest group of receptor protein tyrosine kinases identified to date. While the biological activities of these receptors have yet to be determined, there is increasing evidence that they are involved in central nervous system function and in development. The Eph subfamily receptors of human origin (and their murine/avian homologs) include EphA1 (Eph), EphA2 (Eck), EphA3 (Hek4), EphA4 (Hek8), EphA5 (Hek7), EphA6 (Hek12), EphA7 (Hek11/MDK1), EphA8 (Hek3), EphB1 (Hek6), EphB2 (Hek5), EphB3 (Cek10, Hek2), EphB4 (Htk), EphB5 (Hek9) and EphB6 (Mep). Ligands for Eph receptors include ephrin-A4 (LERK-4) which binds EphA3 and EphB1. In addition, ephrin-A2 (ELF-1) has been described as the ligand for EphA4, ephrin-A3 (Ehk1-L) as the ligand for EphA5 and ephrin-B2 (Htk-L) as the ligand for EphB4 (Htk).
There are no reviews yet.