
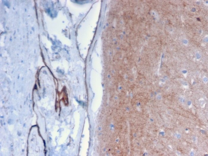
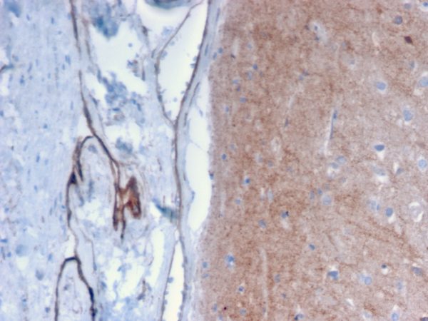
Formalin-fixed, paraffin-embedded human Brain stained with Drebrin-1 Mouse Monoclonal Antibody (DBN1/2879).

Formalin-fixed, paraffin-embedded human Cervix stained with Drebrin-1 Mouse Monoclonal Antibody (DBN1/2879).

Analysis of Protein Array containing more than 19,000 full-length human proteins using Drebrin-1 Mouse Monoclonal Antibody (DBN1/2879). Z- and S- Score: The Z-score represents the strength of a signal that a monoclonal antibody (Monoclonal Antibody) (in combination with a fluorescently-tagged anti-IgG secondary antibody) produces when binding to a particular protein on the HuProtTM array. Z-scores are described in units of standard deviations (SD's) above the mean value of all signals generated on that array. If targets on HuProtTM are arranged in descending order of the Z-score, the S-score is the difference (also in units of SD's) between the Z-score. S-score therefore represents the relative target specificity of a Monoclonal Antibody to its intended target. A Monoclonal Antibody is considered to specific to its intended target, if the Monoclonal Antibody has an S-score of at least 2.5. For example, if a Monoclonal Antibody binds to protein X with a Z-score of 43 and to protein Y with a Z-score of 14, then the S-score for the binding of that Monoclonal Antibody to protein X is equal to 29.
Drebrins (developmentally regulated brain proteins) are cytoplasmic proteins that bind F-actin in the brain and are involved in cell migration, extension of neuronal processes and plasticity of dendrites. There are three isoforms: two embryonic types (E1 and E2); and an adult type (A), generated by alternative RNA splicing from a single Drebrin gene. Drebrins are expressed mainly in brain neurons but are also found in skeletal muscle, heart, placenta, pancreas and kidney. Drebrin has been designated as a marker of the dendritic spine. Decreases in Drebrin levels in the brain have been been associated with Alzheimer s disease and Down syndrome.
There are no reviews yet.