
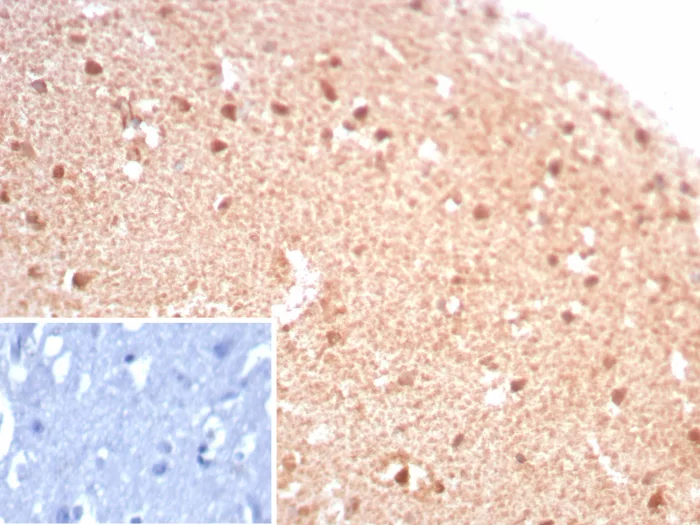
Formalin-fixed, paraffin-embedded human brain stained with CKBB Recombinant Mouse Monoclonal Antibody (rCKBB/8844). Inset: PBS instead of primary antibody; secondary only negative control.

SDS-PAGE Analysis of Purified CKBB Recombinant Mouse Monoclonal Antibody (rCKBB/8844). Confirmation of Purity and Integrity of Antibody.
Creatine kinases (CK) are a large family of isoenzymes that regulate levels of ATP in subcellular compartments, where they provide ATP at sites of fluctuating energy demand by the transfer of phosphates between creatine and adenine nucleotides. CKs provide the energy of phosphate hydrolysis necessary to drive the normal function of many cellular systems. In cells, the cytosolic CK enzymes consist of two subunits, which can be either B (brain type) or M (muscle type). There are three different isoenzymes: CKMM, CKBB and CKMB. This MAb recognizes the CKBB isoenzyme and does not react with the B subunit in CKMB.
There are no reviews yet.