Chromogranin A (Neuroendocrine Marker) Antibody [SPM553]

In Stock
Catalog Number Formulation Size Price
1113-MSM1X-P0
Purified Ab with BSA and Azide at 200ug/ml
20ug
$259.00
1113-MSM1X-P1
Purified Ab with BSA and Azide at 200ug/ml
100ug
$559.00
1113-MSM1X-P1ABX
Purified Ab WITHOUT BSA and Azide at 1.0mg/ml
100ug
$559.00
Flat Rate Domestic: $95 | Orders outside the US - Contact Us for Order Information | Ships next business day

Applications & Dilutions

Applications Tested Dillution Protocol Note
Flow Cytometry (Flow)
1-2ug/million cells
Immunofluorescence (IF)
1-3ug/ml
Immunohistochemistry (IHC)
1-2ug/ml
30 min at RT. Staining of formalin-fixed tissues requires heating tissue sections in 10mM Tris with 1mM EDTA, pH 9.0, for 45 min at 95°C followed by cooling at RT for 20 minutes

Summary

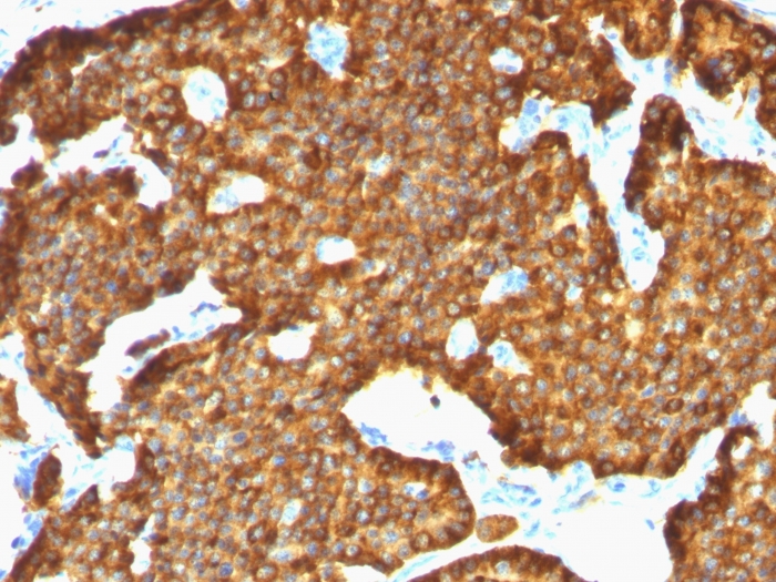
Chromogranin A is present in neuroendocrine cells throughout the body, including the neuroendocrine cells of the large and small intestine, adrenal medulla and pancreatic islets. It is an excellent marker for carcinoid tumors, pheochromocytomas, paragangliomas, and other neuroendocrine tumors. Co-expression of chromogranin A and neuron specific enolase (NSE) is common in neuroendocrine neoplasms. Reportedly, co-expression of certain keratins and chromogranin indicates neuroendocrine lineage. The presence of strong anti-chromogranin staining and absence of anti-keratin staining should raise the possibility of paraganglioma. The co-expression of chromogranin and NSE is typical of neuroendocrine neoplasms. Most pituitary adenomas and prolactinomas readily express chromogranin.

Product Properties & Targets

Antibody Type
Host
Mouse
Species Reactivity
Research Areas
Isotype / Light Chain
IgG1 / Kappa
Cellular Localization
Cytoplasmic vesicle, Neuronal dense core vesicle, Secreted, Secretory vesicle
Gene Name
Positive Control
bowel, pancreas or pheochromocytoma., PC12 cells. Adrenal gland, Thyroid
Immunogen
Recombinant human chromogranin A protein
Alternate Names
Chromogranin-A, Pituitary secretory protein I, Beta-Granin; CGA; CHGA; Chromogranin A Parathyroid Secretory Protein 1; ER-37; Pancreastatin; Parastatin; Parathyroid Secretory Protein 1; Pituitary Secretory Protein I; SP-I; Vasostatin I or II

Database Links

Entrez Gene ID
SwissProt

Additional Information

Clone
SPM553
Chromosome Location
14q32.12
Mol. Weight of Antigen
68-75kDa

Functions

  • Strongly inhibits glucose induced insulin release from the pancreas.
  • Inhibits catecholamine release from chromaffin cells and noradrenergic neurons by acting as a non-competitive nicotinic cholinergic antagonist (PubMed:15326220). Displays antibacterial activity against Gram-positive bacteria S.aureus and M.luteus, and Gram-negative bacteria E.coli and P.aeruginosa (PubMed:15723172 and PubMed:24723458). Can induce mast cell migration, degranulation and production of cytokines and chemokines (PubMed:21214543). Acts as a potent scavenger of free radicals in vitro (PubMed:24723458). May play a role in the regulation of cardiac function and blood pressure (PubMed:18541522).
  • Regulates granule biogenesis in endocrine cells by up-regulating the transcription of protease nexin 1 (SERPINE2) via a cAMP-PKA-SP1 pathway. This leads to inhibition of granule protein degradation in the Golgi complex which in turn promotes granule formation.

Key References

  • Konecki DS et. al. J Biol Chem 1987;262:17026-30.
  • Lloyd RV et. al. Am J Pathol 1988; 130:296-304.

Storage & Stability

Antibody with azide - store at 2 to 8°C. Antibody without azide - store at -20 to -80°C. Antibody is stable for 24 months. Non-hazardous. No MSDS required.

Limitations

This antibody is available for research use only and is not approved for use in diagnosis.

Supplied as

200ug/ml of Ab Purified from Bioreactor Concentrate by Protein A/G. Prepared in 10mM PBS with 0.05% BSA & 0.05% azide. Also available WITHOUT BSA & azide at 1.0mg/ml.

Warranty

There are no warranties, expressed or implied, which extend beyond this description. Company is not liable for any personal injury or economic loss resulting from this product.

Reviews

There are no reviews yet.

Be the first to review “Chromogranin A (Neuroendocrine Marker) Antibody”

Your email address will not be published. Required fields are marked *

PARTNERSHIP OPPORTUNITIES

NeoBiotechnologies holds Exclusive rights to 10,000 recombinant and hybridoma antibody products, available for Licensing or Collaboration.

LETS TALK