
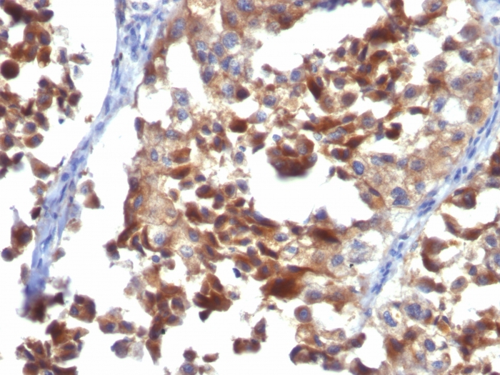
Formalin-fixed, paraffin-embedded human Prostate Carcinoma stained with CD63 Mouse Monoclonal Antibody (LAMP3/968)

Formalin-fixed, paraffin-embedded human Melanoma stained with CD63 Mouse Monoclonal Antibody (LAMP3/968)

SDS-PAGE Analysis Purified CD63 Mouse Monoclonal Antibody (LAMP3/968). Confirmation of Purity and Integrity of Antibody

Flow Cytometric Analysis of PFA-fixed U87MG cells. CD63 Mouse Monoclonal Antibody (LAMP3/968) followed by goat anti-Mouse IgG-CF488 (Blue); Isotype Control (Red).
This MAb recognizes protein of 26kDa-60kDa, which is identified as CD63. Its epitope is different from that of MAb LAMP3/529. The tetraspanins are integral membrane proteins expressed on cell surface and granular membranes of hematopoietic cells and are components of multi-molecular complexes with specific integrins. The tetraspanin CD63 is a lysosomal membrane glycoprotein that translocates to the plasma membrane after platelet activation. CD63 is expressed on activated platelets, monocytes and macrophages, and is weakly expressed on granulocytes, T cell and B cells. It is located on the basophilic granule membranes and on the plasma membranes of lymphocytes and granulocytes. CD63 is a member of the TM4 superfamily of leukocyte glycoproteins that includes CD9, CD37 and CD53, which contain four transmembrane regions. CD63 may play a role in phagocytic and intracellular lysosome-phagosome fusion events. CD63 deficiency is associated with Hermansky-Pudlak syndrome and is strongly expressed during the early stages of melanoma progression.
There are no reviews yet.