
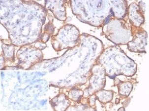
Formalin-fixed, paraffin-embedded human placenta stained with CD59 Recombinant Mouse Monoclonal Antibody (rMACIF/7288). Inset: PBS instead of primary antibody; secondary only negative control.
Reacts with human CD59, a 20kDa glycosyl phosphatidyl-inositol (GPI)-anchored cell surface protein (Workshop VI; Code N-L036). CD59 regulates complement-mediated cell lysis, and it is involved in lymphocyte signal transduction. This protein is a potent inhibitor of the complement membrane attack complex, whereby it binds complement C8 and/or C9 during the assembly of this complex, thereby inhibiting the incorporation of multiple copies of C9 into the complex, which is necessary for osmolytic pore formation. CD59 is widely distributed on cells in all tissues. It inhibits formation of MAC, thus protecting cells from complement-mediated lysis. The expression of CD59 on erythrocytes is important for their survival. Genetic defects in GPI-anchor attachment, that cause a reduction or loss of CD59 and CD55 on erythrocytes produce the symptoms of the disease paroxysmal hemoglobinuria (PNH). This MAb recognizes CD59 transfected cells. It is useful for study on GPI-anchored proteins, PNH and CD59 functions.
There are no reviews yet.