Recombinant CD45 / LCA (Leucocyte Marker) Antibody [PTPRC/1783R + PTPRC/1975R]

In Stock
Catalog Number Formulation Size Price
5788-RBM26-P0
Purified Ab with BSA and Azide at 200ug/ml
20ug
$259.00
5788-RBM26-P1
Purified Ab with BSA and Azide at 200ug/ml
100ug
$559.00
5788-RBM26-P1ABX
Purified Ab WITHOUT BSA and Azide at 1.0mg/ml
100ug
$559.00
Flat Rate Domestic: $95 | Orders outside the US - Contact Us for Order Information | Ships next business day

Applications & Dilutions

Applications Tested Dillution Protocol Note
Immunohistochemistry (IHC)
1-2ug/ml
30 min at RT. Staining of formalin-fixed tissues requires heating tissue sections in 10mM Tris with 1mM EDTA, pH 9.0, for 45 min at 95°C followed by cooling at RT for 20 minutes
Western Blot (WB)
2-4ug/ml

Summary

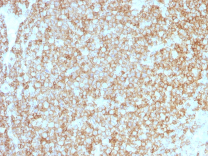
Recognizes the CD45 leukocyte common antigen (LCA) family which is comprised of at least four isoforms of membrane glycoproteins (220, 205, 190, 180kDa) expressed on hematopoietic cell lines but absent on non-hematopoietic cell lines, normal and malignant non-hematopoietic tissues. The intracellular portions of these molecules have protein phosphatase activity and are involved in regulation of transmembrane signals. Antibody to CD45 is useful in differential diagnosis of lymphoid tumors from non-hematopoietic undifferentiated neoplasms. A positive result with this MAb is highly indicative of lymphoid or myeloid origin. Certain types of lymphoid neoplasms may lack CD45 (Hodgkin lymphoma, some T-cell lymphomas, and some leukemias) so its absence does not rule out a hematolymphoid tumor. This antibody is expressed almost exclusively by cells of hematopoietic lineage and is present in most benign and malignant lymphocytes as well as plasma cell precursors.

Product Properties & Targets

Host
Rabbit
Species Reactivity
Isotype / Light Chain
IgG / Kappa
Cellular Localization
Cell membrane, Membrane raft
Gene Name
Positive Control
Ramos, U-698 or GA-10 cells. Tonsil and Spleen.
Immunogen
Recombinant full-length human CD45 protein
Alternate Names
Receptor-type tyrosine-protein phosphatase C, Leukocyte common antigen, T200, B220, CD45R, GP180, Leukocyte common antigen (LCA), Loc, Ly-5, Lyt-4, Protein tyrosine phosphatase receptor type C (PTPRC), Receptor-type tyrosine-protein phosphatase C, T200 glycoprotein

Database Links

Entrez Gene ID
SwissProt

Additional Information

Clone
PTPRC/1783R + PTPRC/1975R
Chromosome Location
1q31.3
Mol. Weight of Antigen
180-220kDa

Functions

  • Protein tyrosine-protein phosphatase required for T-cell activation through the antigen receptor. Acts as a positive regulator of T-cell coactivation upon binding to DPP4. The first PTPase domain has enzymatic activity, while the second one seems to affect the substrate specificity of the first one. Upon T-cell activation, recruits and dephosphorylates SKAP1 and FYN. Dephosphorylates LYN, and thereby modulates LYN activity (By similarity).
  • (Microbial infection) Acts as a receptor for human cytomegalovirus protein UL11 and mediates binding of UL11 to T-cells, leading to reduced induction of tyrosine phosphorylation of multiple signaling proteins upon T-cell receptor stimulation and impaired T-cell proliferation.

Key References

  • Gatter KC et. al. Lancet, 1985 Jun 8, 1(8441):1302-5.
  • Michie SA et. al. American Journal of Clinical Pathology, 1987, 88(4):457-62.

Storage & Stability

Antibody with azide - store at 2 to 8°C. Antibody without azide - store at -20 to -80°C. Antibody is stable for 24 months. Non-hazardous. No MSDS required.

Limitations

This antibody is available for research use only and is not approved for use in diagnosis.

Supplied as

200ug/ml of Ab Purified by Protein A. Prepared in 10mM PBS with 0.05% BSA & 0.05% azide. Also available WITHOUT BSA & azide at 1.0mg/ml.

Warranty

There are no warranties, expressed or implied, which extend beyond this description. Company is not liable for any personal injury or economic loss resulting from this product.

Reviews

There are no reviews yet.

Be the first to review “Recombinant CD45 / LCA (Leucocyte Marker) Antibody”

Your email address will not be published. Required fields are marked *

PARTNERSHIP OPPORTUNITIES

NeoBiotechnologies holds Exclusive rights to 10,000 recombinant and hybridoma antibody products, available for Licensing or Collaboration.

LETS TALK