
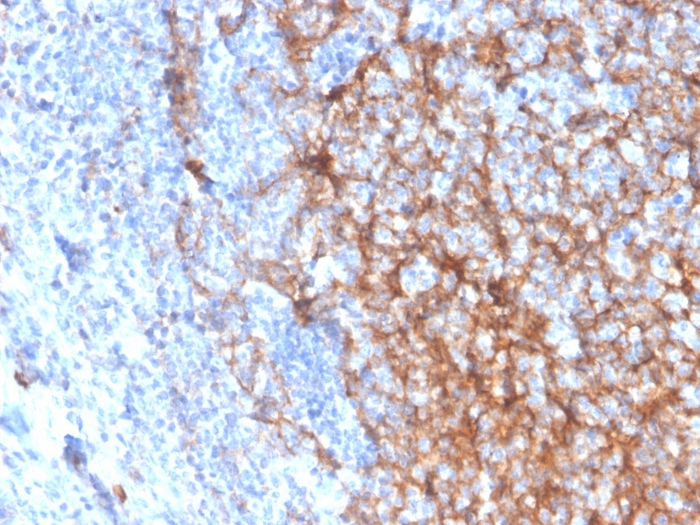
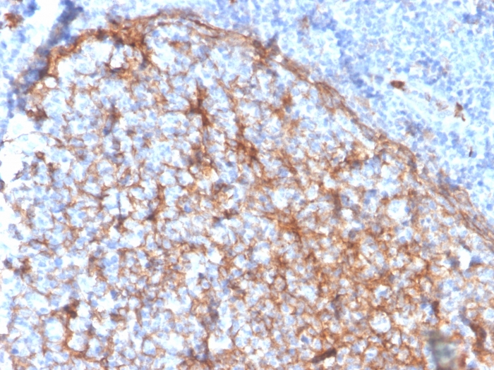
Formalin-fixed, paraffin-embedded human tonsil stained with CD11b Monospecific Mouse Monoclonal Antibody (ITGAM/3337).

Formalin-fixed, paraffin-embedded human tonsil stained with CD11b Monospecific Mouse Monoclonal Antibody (ITGAM/3337).

SDS-PAGE Analysis of Purified CD11b Mouse Monoclonal Antibody (ITGAM/3337). Confirmation of Purity and Integrity of Antibody.

Analysis of Protein Array containing more than 19,000 full-length human proteins using CD11b Monospecific Mouse Monoclonal Antibody (ITGAM/3337). Z- and S- Score: The Z-score represents the strength of a signal that a monoclonal antibody (MAb) (in combination with a fluorescently-tagged anti-IgG secondary antibody) produces when binding to a particular protein on the HuProtTM array. Z-scores are described in units of standard deviations (SD’s) above the mean value of all signals generated on that array. If targets on HuProtTM are arranged in descending order of the Z-score, the S-score is the difference (also in units of SD’s) between the Z-score. S-score therefore represents the relative target specificity of a MAb to its intended target. A MAb is considered to specific to its intended target, if the MAb has an S-score of at least 2.5. For example, if a MAb binds to protein X with a Z-score of 43 and to protein Y with a Z-score of 14, then the S-score for the binding of that MAb to protein X is equal to 29.
CD11b is a cell adhesion molecule that acts as a receptor for cell surface ligands such as intracellular adhesion molecules (ICAMs) or soluble ligands. Integrins are heterodimeric proteins that contain an a chain and b chain. Integrin aM combines with the Integrin ‘2 to form a leukocyte-specific integrin referred to as macrophage receptor 1 (Mac-1), or inactivated-C3b (iC3b) receptor 3 (CR3). Integrin aM/’2 is important in the adherence of neutrophils and monocytes to stimulated endothelium, and also in the phagocytosis of complement coated particles. The protein CD11b has been implicated in the various adhesion-related interactions of cells such as monocytes, macrophages, natural killer (NK) cells, and granulocytes. It is part of a heterodimer that consists of CD11b andCD18. It also modulates the uptake of complement-coated particles within the cell. It is commonly used as a microglial marker in tissues derived from the nervous system.
There are no reviews yet.