Recombinant Bcl-6 (Follicular Lymphoma Marker) Antibody [BCL6/9222R]

In Stock
Catalog Number Formulation Size Price
604-RBM32-P0
Purified Ab with BSA and Azide at 200ug/ml
20ug
$259.00
604-RBM32-P1
Purified Ab with BSA and Azide at 200ug/ml
100ug
$559.00
604-RBM32-P1ABX
Purified Ab WITHOUT BSA and Azide at 1.0mg/ml
100ug
$559.00
Flat Rate Domestic: $95 | Orders outside the US - Contact Us for Order Information | Ships next business day

Applications & Dilutions

Applications Tested Dillution Protocol Note
Immunohistochemistry (IHC)
1-2ug/ml
30 min at RT. Staining of formalin-fixed tissues requires heating tissue sections in 10mM Tris with 1mM EDTA, pH 9.0, for 45 min at 95°C followed by cooling at RT for 20 minutes

Summary

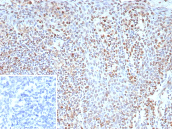
Recognizes a protein of 95kDa, which is identified as Bcl-6. Antibody to bcl-6 is helpful in a number of diagnostic settings: (1) In the differential diagnosis of small B-cell lymphoma. Follicular lymphoma will show bcl-6 (and CD10) positivity whereas other small B-cell lymphomas are usually negative. (2) Bcl-6 is an important prognostic marker in diffuse large B-cell lymphomas (DLBCL), where CD10, bcl-6 and MUM1/IRF4 are used to identify germinal center and activated B-cell phenotypes. (3) Bcl-6 can be valuable in distinguishing classical Hodgkin lymphoma from nodular lymphocyte predominant Hodgkin lymphoma (NLPHL). The Reed-Sternberg cells of classical Hodgkin lymphoma are bcl-6 negative whereas the large ( L&H ) cells of NLPHL are bcl-6 positive. In contrast, anti-Bcl-6 rarely stains mantle-cell lymphoma and MALT lymphoma.

Product Properties & Targets

Host
Rabbit
Applications
Species Reactivity
Isotype / Light Chain
IgG / Kappa
Cellular Localization
Nucleus.
Gene Name
Positive Control
Raji or Ramos cells. Human tonsil or Hodgkin s lymphoma.
Immunogen
Recombinant fragment (aa1-400) of human BCL6 protein (exact sequence is proprietary)
Alternate Names
B-cell lymphoma 6 protein, B-cell lymphoma 5 protein, Protein LAZ-3, Zinc finger and BTB domain-containing protein 27, Zinc finger protein 51, B-cell lymphoma 5 protein; B-Cell Lymphoma 6 Protein; BCL5; BCL6; BCL6A; cys his2 zinc finger transcription factor; Lymphoma Associated Zinc Finger Gene On Chromosome 3 (LAZ3); Zinc finger and BTB domain-containing protein 27 (ZBTB27); Zinc Finger Protein 51 (ZNF51); zinc finger transcription factor BCL6S

Database Links

Entrez Gene ID
604
SwissProt

Additional Information

Clone
BCL6/9222R
Chromosome Location
3q27.3
Mol. Weight of Antigen
95kDa

Functions

  • Transcriptional repressor mainly required for germinal center (GC) formation and antibody affinity maturation which has different mechanisms of action specific to the lineage and biological functions. Forms complexes with different corepressors and histone deacetylases to repress the transcriptional expression of different subsets of target genes. Represses its target genes by binding directly to the DNA sequence 5'-TTCCTAGAA-3' (BCL6-binding site) or indirectly by repressing the transcriptional activity of transcription factors. In GC B-cells, represses genes that function in differentiation, inflammation, apoptosis and cell cycle control, also autoregulates its transcriptional expression and up-regulates, indirectly, the expression of some genes important for GC reactions, such as AICDA, through the repression of microRNAs expression, like miR155. An important function is to allow GC B-cells to proliferate very rapidly in response to T-cell dependent antigens and tolerate the physiological DNA breaks required for immunglobulin class switch recombination and somatic hypermutation without inducing a p53/TP53-dependent apoptotic response. In follicular helper CD4(+) T-cells (T(FH) cells), promotes the expression of T(FH)-related genes but inhibits the differentiation of T(H)1, T(H)2 and T(H)17 cells. Also required for the establishment and maintenance of immunological memory for both T- and B-cells. Suppresses macrophage proliferation through competition with STAT5 for STAT-binding motifs binding on certain target genes, such as CCL2 and CCND2. In response to genotoxic stress, controls cell cycle arrest in GC B-cells in both p53/TP53-dependedent and -independent manners. Besides, also controls neurogenesis through the alteration of the composition of NOTCH-dependent transcriptional complexes at selective NOTCH targets, such as HES5, including the recruitment of the deacetylase SIRT1 and resulting in an epigenetic silencing leading to neuronal differentiation.

Key References

  • Garcia JF,et al.2006.J. Histochem Cytochem.54:31.
  • Ree, H.J., et al. 2003. Hum. Pathol. 34: 610-616.

Storage & Stability

Antibody with azide - store at 2 to 8°C. Antibody without azide - store at -20 to -80°C.Antibody is stable for 24 months. Non-hazardous. No MSDS required.

Limitations

This antibody is available for research use only and is not approved for use in diagnosis.

Supplied as

200ug/ml of Ab purified from Bioreactor Concentrate by Protein A/G. Prepared in 10mM PBS with 0.05% BSA & 0.05% azide. Also available WITHOUT BSA & azide at 1.0mg/ml.

Warranty

There are no warranties, expressed or implied, which extend beyond this description. Company is not liable for any personal injury or economic loss resulting from this product.

Reviews

There are no reviews yet.

Be the first to review “Recombinant Bcl-6 (Follicular Lymphoma Marker) Antibody”

Your email address will not be published. Required fields are marked *

PARTNERSHIP OPPORTUNITIES

NeoBiotechnologies holds Exclusive rights to 10,000 recombinant and hybridoma antibody products, available for Licensing or Collaboration.

LETS TALK