Menu
1-866-2-NEOBIO
(1-866-263-6246)
Search Primary Antibodies
Antibody Protocol Library
Flow Cytometry Protocol
IHC Protocol
SDS Page Protocol
Antibody Validation
Antibody QC with SDS-PAGE
How to read HuProtâ„¢ Antibody Validation Results
Immunohistochemistry (IHC) Validation on FFPE Tissue
Tissue Microarray Antibody Validation
Western Blot Antibody Validation
Why All Monoclonals Are Not Monospecific
Blog
Browse By Host
Cancer Markers
Checkout
Distributors
Download Datasheet
Download Datasheet
ELISA
How To Understand HuProtâ„¢ Antibody Validation Results
human protein
Monoclonals
My Account
NeoBiotechnologies
Primary Antibodies
Protein Targets
Proteins Archive
Quality policies
Recombinant Antibody Validation
Recombinants
Refund and Returns Policy
Resources
SDS CSV Uploader
Shop Primary Antibodies
Table Search
Terms of Service
Track Your Order
Why Cancer Researchers Choose Us
Primary Antibodies
About Us
Antibody Validation
Knowledge Base
Cancer Markers
Breast Cancer Markers
Colon Cancer Markers
Colorectal Cancer Markers
Lung Cancer Markers
Neuroscience Markers
Ovarian Cancer Markers
Pancreatic Cancer Markers
Prostate Cancer Markers
Cell Markers
Neural Stem Cells
Protocols
SDS Page Protocol
Flow Cytometry Protocol
IHC Protocol
News
Distributors
Data Export
Shop Antibodies
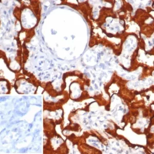
Nucleus. Cytoplasm. Colocalizes with S100PBP in the nucleus. Antibodies
×
Showing all 6 results
Filters
Advanced Filters
MAbMan's Picks
(3)
PCRP
(0)
HuProtâ„¢ Validated
(0)
Drug Targets
(0)
Best Sellers
(0)
Primary Antibodies
Primary Antibodies
(6)
Monoclonals
(6)
Mouse Monoclonals
(3)
Recombinants
(3)
Recombinant Rabbit Monoclonals
(2)
Recombinant Mouse Monoclonals
(1)
Rat Monoclonals
(0)
Rabbit Monoclonals
(0)
Polyclonals
(0)
Rabbit Polyclonals
(0)
MonoPolys
(0)
Rabbit MonoPolys
(0)
Other Products
(0)
Application
Chromatin immunoprecipitation
(0)
ELISA
(0)
Flow Cytometry
(0)
Functional Studies
(0)
Immunocytochemistry
(0)
Immunofluorescence
(0)
Immunohistochemistry
(6)
Immunoprecipitation
(0)
Knockdown
(0)
Sandwich ELISA (Capture)
(0)
Sandwich ELISA (Detector)
(0)
SDS-PAGE
(0)
Western Blot
(1)
Host
Armenian Hamster
(0)
Mouse
(4)
Rabbit
(2)
Rat
(0)
Gene Name
A2M
(0)
ABCB1
(0)
ABCB11
(0)
ABCC1
(0)
ABCC11
(0)
ABCC3
(0)
ABCC4
(0)
ABO
(0)
ACE
(0)
ACE2
(0)
ACP3
(0)
ACP5
(0)
ACTA1
(0)
ACTA2
(0)
ACTB
(0)
ACTN2
(0)
ACTN4
(0)
ADCY8
(0)
ADIPOQ
(0)
AFP
(0)
AGO3
(0)
AHSG
(0)
AIF1
(0)
AKR1B1
(0)
AKR1C1
(0)
AKR1C2
(0)
AKT1
(0)
ALB
(0)
ALCAM
(0)
ALDH1A1
(0)
ALDH1L1
(0)
ALK
(0)
ALPL
(0)
ALPP
(0)
AMACR
(0)
AMBP
(0)
AMH
(0)
AMPD3
(0)
ANGPT1
(0)
ANO1
(0)
ANPEP
(0)
ANXA1
(0)
ANXA2
(0)
APC
(0)
APCS
(0)
APEX1
(0)
APOA1
(0)
APOA4
(0)
APOB
(0)
APOD
(0)
APOE
(0)
APOH
(0)
APP
(0)
AQP4
(0)
AR
(0)
ARF1
(0)
ARG1
(0)
ARID1A
(0)
ASRGL1
(0)
ATF2
(0)
ATG5
(0)
ATM
(0)
ATRX
(0)
AURKB
(0)
B2M
(0)
B3GAT1
(0)
BACH2
(0)
BAP1
(0)
BARX1
(0)
BATF2
(0)
BATF3
(0)
BAX
(0)
BCL10
(0)
BCL11A
(0)
BCL2
(0)
BCL2L1
(0)
BCL2L2
(0)
BCL6
(0)
BCOR
(0)
BIRC5
(0)
BMI1
(0)
BMP15
(0)
BOLA3
(0)
BPIFB1
(0)
BRAF
(0)
BRCA1
(0)
BRCA2
(0)
BSG
(0)
BST2
(0)
BTBD9
(0)
BTLA
(0)
C1QA
(0)
C1QB
(0)
C3
(0)
C4A
(0)
C9
(0)
CA3
(0)
CA8
(0)
CA9
(0)
CALB1
(0)
CALB2
(0)
CALCA
(0)
CALD1
(0)
CANX
(0)
CAPN1
(0)
CARM1
(0)
CASP3
(0)
CASP7
(0)
CAST
(0)
CBFB
(0)
CCAR2
(0)
CCL18
(0)
CCL23
(0)
CCL8
(0)
ccna1
(0)
CCNA2
(0)
CCNB1
(0)
CCNB2
(0)
CCND1
(0)
CCND2
(0)
CCNE1
(0)
CCR5
(0)
CD109
(0)
CD14
(0)
CD151
(0)
CD163
(0)
CD163L1
(0)
CD19
(0)
CD1A
(0)
CD1B
(0)
CD1C
(0)
CD2
(0)
CD200R1
(0)
CD207
(0)
CD209
(0)
CD22
(0)
CD27
(0)
CD274
(0)
CD276
(0)
CD28
(0)
CD33
(0)
CD34
(0)
CD36
(0)
CD37
(0)
CD38
(0)
CD3D
(0)
CD3E
(0)
CD3G
(0)
CD4
(0)
CD40
(0)
CD40LG
(0)
CD44
(0)
CD46
(0)
CD47
(0)
CD48
(0)
CD5
(0)
CD52
(0)
CD53
(0)
CD55
(0)
CD59
(0)
CD5L
(0)
CD6
(0)
CD63
(0)
CD68
(0)
CD7
(0)
CD70
(0)
CD72
(0)
CD74
(0)
CD79A
(0)
CD79B
(0)
CD80
(0)
CD81
(0)
CD83
(0)
CD84
(0)
CD86
(0)
CD8A
(0)
CD8B
(0)
CD9
(0)
CD99
(0)
CDC20
(0)
CDC34
(0)
CDC5L
(0)
CDH1
(0)
CDH16
(0)
CDH17
(0)
CDH2
(0)
CDH3
(0)
CDH6
(0)
CDK1
(0)
CDK2
(0)
CDK4
(0)
CDKN1A
(0)
CDKN1B
(0)
CDKN1C
(0)
CDKN2A
(0)
CDX1
(0)
CDX2
(0)
CEACAM1
(0)
CEACAM5
(0)
CEACAM6
(0)
CEBPE
(0)
CEBPZ
(0)
CELA3A
(0)
CELA3B
(0)
CELF2
(0)
CETN1
(0)
CFL2
(0)
CFTR
(0)
CGA
(0)
CGB3
(0)
CGB5
(0)
CGB8
(0)
CHAT
(0)
CHD4
(0)
CHEK2
(0)
CHGA
(0)
CHGB
(0)
CHI3L2
(0)
CHID1
(0)
CHP2
(0)
CKB
(0)
CKM
(0)
CLDN18
(0)
CLEC4C
(0)
CLEC9A
(0)
CLPS
(0)
CLTA
(0)
CLTCL1
(0)
CLU
(0)
CNN1
(0)
CNOT10
(0)
COL2A1
(0)
COL4A1
(0)
COL4A3
(0)
COL4A5
(0)
COL7A1
(0)
CPA1
(0)
CPS1
(0)
CR1
(0)
CR2
(0)
CREB3L4
(0)
CREB5
(0)
CRYAB
(0)
CSF2
(0)
CSF3
(0)
CSTA
(0)
CSTB
(0)
CSTF2T
(0)
CTBP2
(0)
CTLA-4
(0)
CTNNB1
(0)
CTNND1
(0)
CTSD
(0)
CTSG
(0)
CTSK
(0)
CXCR5
(0)
CYCS
(0)
CYP19A1
(0)
CYP1A1
(0)
CYP2C9
(0)
CYP2E1
(0)
DAXX
(0)
DAZL
(0)
DBH
(0)
DBN1
(0)
DCN
(0)
DCP2
(0)
DDX41
(0)
DES
(0)
DLL3
(0)
DMC1
(0)
DMD
(0)
DMRT2
(0)
DNMT1
(0)
DNMT3A
(0)
DNTT
(0)
DPP4
(0)
DRAP1
(0)
DSC2
(0)
DSG1
(0)
DSG2
(0)
DSG3
(0)
E1^E4
(0)
E2F4
(0)
E2F6
(0)
E4F1
(0)
EBAG9
(0)
EBI3
(0)
ECD
(0)
ECM1
(0)
EGFL7
(0)
EGFR
(0)
EGLN1
(0)
EIF2S1
(0)
EIF4A2
(0)
EIF4E
(0)
ELK1
(0)
ELN
(0)
EMD
(0)
EME1
(0)
ENAH
(0)
ENG
(0)
ENO2
(0)
ENPP3
(0)
ENTPD1
(0)
EPCAM
(0)
EPHB4
(0)
EPO
(0)
EPX
(0)
ERBB2
(0)
ERBB4
(0)
ERCC1
(0)
ERG
(0)
ESR1
(0)
ESR2
(0)
ETS1
(0)
ETS2
(0)
EZH2
(0)
EZR
(0)
F13A1
(0)
F3
(0)
F7
(0)
FABP1
(0)
FABP2
(0)
FABP3
(0)
FABP4
(0)
FABP5
(0)
FAF1
(0)
FAP
(0)
FAS
(0)
FASLG
(0)
FAT1
(0)
FAT2
(0)
FBLIM1
(0)
FBN1
(0)
FBXO5
(0)
FCER2
(0)
FCGR1A
(0)
FCGR2A
(0)
FCGR3A
(0)
FCGRT
(0)
FERMT1
(0)
FERMT2
(0)
FEV
(0)
FGA
(0)
FGF2
(0)
FGF21
(0)
FGF23
(0)
FLG
(0)
FLI1
(0)
FLT1
(0)
FLT3
(0)
Fn1
(0)
FOLH1
(0)
FOLR1
(0)
FOSL2
(0)
FOXA1
(0)
FOXB1
(0)
FOXB2
(0)
FOXL1
(0)
FOXL2
(0)
FOXO1
(0)
FOXP1
(0)
FOXP3
(0)
FOXP4
(0)
FOXQ1
(0)
FSCN1
(0)
FSHB
(0)
FSHR
(0)
FST
(0)
FTCD
(0)
FTH1
(0)
FTL
(0)
FUT3
(0)
FUT4
(0)
FXN
(0)
GAD1
(0)
GAD2
(0)
gag-pol
(0)
GAST
(0)
GATA3
(0)
GATA4
(0)
GBP1
(0)
GBX2
(0)
GC
(0)
GCG
(0)
GCHFR
(0)
GCLM
(0)
GCM2
(0)
GCSAM
(0)
GDF9
(0)
GFAP
(0)
GH1
(0)
GJB1
(0)
GLG1
(0)
GLIS3
(0)
GLO1
(0)
GLUL
(0)
GMNN
(0)
GNAQ
(0)
GNRHR
(0)
GP2
(0)
GPC3
(0)
GPI
(0)
GPN1
(0)
GPRC5A
(0)
GPX4
(0)
GRAMD4
(0)
GSN
(0)
GSTM1
(0)
GSTM2
(0)
GSTM3
(0)
GSTP1
(0)
GTF2A1
(0)
GTF2B
(0)
GTF2H2
(0)
GTF2H2C
(0)
GTF2H2C_2
(0)
GTF2I
(0)
GTF2IRD2
(0)
GYPA
(0)
GZMB
(0)
H1-0
(0)
H2-Ea
(0)
H3C1
(0)
H3C10
(0)
H3C11
(0)
H3C12
(0)
H3C2
(0)
H3C3
(0)
H3C4
(0)
H3C6
(0)
H3C7
(0)
H3C8
(0)
HAVCR2
(0)
HBA1
(0)
HBA2
(0)
HBEGF
(0)
HBsAg
(0)
HDAC1
(0)
HDAC3
(0)
HDAC6
(0)
HDAC7
(0)
HDGF
(0)
HEG1
(0)
HES5
(0)
HEXB
(0)
HGF
(0)
HIC2
(0)
HIF1A
(0)
HK1
(0)
HLA-B
(0)
HLA-DPB1
(0)
HLA-DQA1
(0)
HLA-DRA
(0)
HLA-DRB1
(0)
HLA-E
(0)
HLA-G
(0)
HMG20B
(0)
HMMR
(0)
HNF1A
(0)
HNF1B
(0)
HOMEZ
(0)
HOXB2
(0)
HP
(0)
HSD17B13
(0)
HSP90AA1
(0)
HSP90AB1
(0)
HSP90B1
(0)
HSPA1A
(0)
HSPA1B
(0)
HSPB1
(0)
HSPD1
(0)
HSPG2
(0)
HSPH1
(0)
ICAM1
(0)
ICAM3
(0)
ICOSLG
(0)
ID1
(0)
ID4
(0)
IDH1
(0)
IDO2
(0)
IFNA1
(0)
IFNA13
(0)
IFNA2
(0)
IFNG
(0)
IGF1
(0)
IGF1R
(0)
IGF2BP2
(0)
IGFBP3
(0)
IGHA1
(0)
IGHD
(0)
IGHG1
(0)
IGHG4
(0)
IGHM
(0)
IGKV1D-16
(0)
IGLV1-51
(0)
IL-2
(0)
IL-6
(0)
IL10
(0)
Il10ra
(0)
IL15
(0)
IL18
(0)
IL18R1
(0)
IL18RAP
(0)
IL1A
(0)
IL1B
(0)
IL1RN
(0)
IL20RA
(0)
IL22RA2
(0)
IL25
(0)
IL2RA
(0)
IL3
(0)
IL31
(0)
IL3RA
(0)
IL4
(0)
IL5
(0)
IL6ST
(0)
IL7
(0)
IL7R
(0)
IMP3
(0)
INHA
(0)
INS
(0)
INSM1
(0)
INSM2
(0)
INSR
(0)
IRF3
(0)
IRF4
(0)
IRF9
(0)
IRS1
(0)
ITGA2B
(0)
ITGAE
(0)
ITGAL
(0)
ITGAM
(0)
ITGAV
(0)
ITGAX
(0)
ITGB1
(0)
ITGB2
(0)
ITGB3
(0)
ITGB4
(0)
ITLN1
(0)
IVL
(0)
JAZF1
(0)
JUN
(0)
JUNB
(0)
JUP
(0)
KCNIP2
(0)
KCNJ6
(0)
KDM1A
(0)
KDM5C
(0)
KDR
(0)
KIF2C
(0)
KIT
(0)
KLF12
(0)
KLF17
(0)
KLK3
(0)
KLK4
(0)
KLK5
(0)
KLK7
(0)
KLRB1
(0)
Klrb1c
(0)
KNG1
(0)
KRT1
(0)
KRT10
(0)
KRT13
(0)
KRT14
(0)
KRT15
(0)
KRT16
(0)
KRT17
(0)
KRT18
(0)
KRT19
(0)
KRT20
(0)
KRT3
(0)
KRT4
(0)
KRT5
(0)
KRT6A
(0)
KRT6B
(0)
KRT7
(0)
KRT76
(0)
KRT77
(0)
KRT8
(0)
L1CAM
(0)
L1TD1
(0)
LAG3
(0)
LAMC1
(0)
LAMP1
(0)
LAMP5
(0)
LDB2
(0)
LEF1
(0)
LEPR
(0)
LGALS1
(0)
LGALS13
(0)
LGALS3
(0)
LGALS9
(0)
LHB
(0)
LHCGR
(0)
LIG1
(0)
LILRB1
(0)
LIN28A
(0)
LMO2
(0)
LMP1
(0)
LRG1
(0)
LRP1
(0)
LSP1
(0)
LTF
(0)
LY75
(0)
LYZ
(0)
MAGEA1
(0)
MAGEA4
(0)
MALT1
(0)
MAML2
(0)
MAML3
(0)
MAP2
(0)
MAP3K1
(0)
MAPK1
(0)
MAPK14
(0)
MB
(0)
MBD1
(0)
MBD3
(0)
MBNL3
(0)
MBP
(0)
MCAM
(0)
MCM2
(0)
MCM3
(0)
MCM4
(0)
MCM5
(0)
MCM6
(0)
MCM7
(0)
MDH1
(0)
MDM2
(0)
MED21
(0)
MED22
(0)
MED7
(0)
MEF2B
(0)
MEF2D
(0)
MEIS2
(0)
MERTK
(0)
MFGE8
(0)
MGMT
(0)
MICA
(0)
MIF
(0)
MITF
(0)
MKI67
(0)
MLANA
(0)
MLH1
(0)
MLX
(0)
MME
(0)
MMP2
(0)
MMP3
(0)
MMP9
(0)
MPO
(0)
MPZ
(0)
MR1
(0)
MRC1
(0)
MS4A1
(0)
MSH2
(0)
MSH6
(0)
MSLN
(0)
MSN
(0)
MSTN
(0)
MTAP
(0)
MTF1
(0)
MUC1
(0)
MUC13
(0)
MUC16
(0)
MUC2
(0)
MUC3A
(0)
MUC4
(0)
MUC5AC
(0)
MUC6
(0)
MVP
(0)
MX1
(0)
MXI1
(0)
MYADM
(0)
MYC
(0)
MYCL
(0)
MYCN
(0)
MYH11
(0)
MYH7
(0)
MYOD1
(0)
MYOG
(0)
MZF1
(0)
N/A
(0)
NA
(0)
NACC1
(0)
NANOG
(0)
NAPSA
(0)
NCAM1
(0)
NCL
(0)
NCR3LG1
(0)
NECAB1
(0)
NECTIN4
(0)
NEFH
(0)
NEFL
(0)
NES
(0)
NEUROD2
(0)
NEUROG3
(0)
NGFR
(0)
Nid1
(0)
NKX2-1
(0)
NKX2-2
(0)
NKX2-8
(0)
NKX3-1
(0)
NKX6-1
(0)
NME1
(0)
NME2
(0)
NMI
(0)
NOC4L
(0)
NOX4
(0)
NPM1
(0)
NPPB
(0)
NR1H2
(0)
NR3C2
(0)
NR5A1
(0)
NR5A2
(0)
NRF1
(0)
NRG1
(0)
NRP1
(0)
NS3
(0)
NT5E
(0)
NTRK2
(0)
NTRK3
(0)
NUMA1
(0)
NUTM1
(0)
OCLN
(0)
ODC1
(0)
OGG1
(0)
OLIG2
(0)
ORC1
(0)
OTX2
(0)
OVOL2
(0)
PADI4
(0)
PAPPA
(0)
PARVB
(0)
PARVG
(0)
PAX2
(0)
PAX3
(0)
PAX4
(0)
PAX5
(0)
PAX6
(0)
PAX7
(0)
PAX8
(0)
PBX1
(0)
PBX2
(0)
PCGF3
(0)
PCNA
(0)
PDCD1
(0)
PDCD1LG2
(0)
PDGFB
(0)
PDGFRA
(0)
PDLIM1
(0)
PDPN
(0)
PDX1
(0)
PECAM-1
(0)
PGF
(0)
PGM5
(0)
PGR
(0)
PHB1
(0)
PHF10
(0)
PHOX2B
(0)
PHPT1
(0)
PIK3CD
(0)
PIK3R2
(0)
PIP
(0)
PKP1
(0)
PLA2R1
(0)
PLIN2
(0)
plk1
(0)
PLP1
(0)
PMEL
(0)
PMEPA1
(0)
PMS1
(0)
PMS2
(0)
PNLIP
(0)
PODXL
(0)
POGZ
(0)
POLE3
(0)
POLR2A
(0)
POMC
(0)
PON1
(0)
POSTN
(0)
POU1F1
(0)
POU2AF1
(0)
POU2F2
(0)
POU5F1
(0)
PPARD
(0)
PPP3CA
(0)
PPP3R1
(0)
PRAME
(0)
PRDM1
(0)
PRDX4
(0)
PRF1
(0)
PRKCA
(0)
PRKCI
(0)
PRL
(0)
PRLR
(0)
PRMT6
(0)
PRMT7
(0)
PROM1
(0)
PRPH
(0)
PSMD4
(0)
PTEN
(0)
PTGS2
(0)
PTH
(0)
PTPN6
(0)
PTPRC
(0)
PTPRU
(0)
PVALB
(0)
QKI
(0)
RAC1
(0)
RAD51
(0)
RB1
(0)
RBFOX3
(0)
RBM8A
(0)
RBMS2
(0)
RBP1
(0)
RBP4
(0)
RELA
(0)
RELN
(0)
RET
(0)
RETN
(0)
RHOBTB2
(0)
RHOXF2
(0)
RNLS
(0)
ROR2
(0)
RORC
(0)
ROS1
(0)
RPA2
(0)
Rps23
(0)
RPS6KA5
(0)
RPSA
(0)
RRM1
(0)
RXRB
(0)
RXRG
(0)
S100A1
(0)
S100A11
(0)
S100A12
(0)
S100A13
(0)
S100A14
(0)
S100A16
(0)
S100A2
(0)
S100A4
(0)
S100A5
(0)
S100A8
(0)
S100A9
(0)
S100B
(0)
S100G
(0)
S100P
(6)
SAA1
(0)
SALL4
(0)
SAMD4B
(0)
SAT1
(0)
SATB1
(0)
SATB2
(0)
SBSN
(0)
SCGB2A2
(0)
SCGN
(0)
SCX
(0)
SDC1
(0)
SDHA
(0)
SDHB
(0)
SELE
(0)
SELL
(0)
SELPLG
(0)
SEMA4D
(0)
SERBP1
(0)
SERPINA1
(0)
SERPINA3
(0)
SERPINB3
(0)
SERPINB5
(0)
SERPINE1
(0)
SET
(0)
SFMBT2
(0)
SFN
(0)
SFTPD
(0)
SHBG
(0)
SIGLEC1
(0)
SIGLEC10
(0)
SIRT1
(0)
SIRT2
(0)
SIRT3
(0)
SLAMF7
(0)
SLC18A2
(0)
SLC2A1
(0)
SLC3A2
(0)
SLC45A3
(0)
SLC4A1
(0)
SLC7A11
(0)
SMAD3
(0)
SMAD4
(0)
SMAD9
(0)
SMARCA4
(0)
SMARCAL1
(0)
SMARCB1
(0)
SMARCC1
(0)
SMN1
(0)
SMNDC1
(0)
SMTN
(0)
SNAPC4
(0)
SNW1
(0)
SOD1
(0)
SOX10
(0)
SOX11
(0)
SOX12
(0)
SOX18
(0)
SOX2
(0)
SOX4
(0)
SOX9
(0)
SP100
(0)
SPARC
(0)
SPAST
(0)
SPI1
(0)
SPIC
(0)
SPN
(0)
SPP1
(0)
SPTA1
(0)
SPTAN1
(0)
SPTBN2
(0)
SREBF1
(0)
SREBF2
(0)
SRF
(0)
SS18
(0)
SST
(0)
SSTR2
(0)
ST6GAL1
(0)
STAR
(0)
STAT2
(0)
STAT3
(0)
STAT5A
(0)
STAT5B
(0)
STAT6
(0)
STING1
(0)
STMN1
(0)
SULT1E1
(0)
SUMO1
(0)
SUMO2
(0)
SUMO3
(0)
SV2A
(0)
SYP
(0)
TACSTD2
(0)
TADA1
(0)
TAGLN
(0)
TAL1
(0)
TARBP2
(0)
TARDBP
(0)
TBX21
(0)
TBXT
(0)
tcdA
(0)
TCF25
(0)
TCF4
(0)
TCF7
(0)
TCL1A
(0)
TDP2
(0)
TDRKH
(0)
TEK
(0)
TF
(0)
TFAM
(0)
TFAP2A
(0)
TFE3
(0)
TFF1
(0)
TFF2
(0)
TFPI2
(0)
TFRC
(0)
TG
(0)
TGFA
(0)
TGFB1
(0)
TGFB3
(0)
TGFBR1
(0)
TGM2
(0)
THBD
(0)
THBS1
(0)
Thy-1
(0)
TIA1
(0)
TIGIT
(0)
TIMP1
(0)
TIMP2
(0)
TIMP3
(0)
TLE1
(0)
TLR2
(0)
TLR4
(0)
TMPRSS2
(0)
TNC
(0)
TNF
(0)
TNFAIP3
(0)
TNFRSF10B
(0)
TNFRSF13C
(0)
TNFRSF17
(0)
Tnfrsf18
(0)
TNFRSF4
(0)
TNFRSF8
(0)
TNFRSF9
(0)
TNFSF13B
(0)
TNFSF15
(0)
TNFSF9
(0)
TOM1L1
(0)
TOP1MT
(0)
TOP2A
(0)
TOX3
(0)
TP53
(0)
TP63
(0)
TP73
(0)
TPH1
(0)
TPM1
(0)
TPO
(0)
TPSAB1
(0)
TRAF1
(0)
TREM2
(0)
TRIM24
(0)
TRIM27
(0)
TRIM29
(0)
TRPC6
(0)
TRPS1
(0)
TSC22D1
(0)
TSHB
(0)
TSHR
(0)
TTR
(0)
TUBA1B
(0)
TUBB
(0)
TUBB3
(0)
TYMP
(0)
TYMS
(0)
TYR
(0)
TYRP1
(0)
UACA
(0)
UBB
(0)
UBE2B
(0)
UBE2C
(0)
UBE3A
(0)
UBR2
(0)
UCHL1
(0)
UL83
(0)
UPF1
(0)
UPK1A
(0)
UPK1B
(0)
UPK2
(0)
UPK3A
(0)
UPK3B
(0)
USF2
(0)
V-MYB
(0)
VCAM1
(0)
VCL
(0)
VEGFA
(0)
VIL1
(0)
VIM
(0)
VLDLR
(0)
VSIR
(0)
VTCN1
(0)
VWF
(0)
WIPI2
(0)
WT1
(0)
WTAP
(0)
XRCC3
(0)
XRCC5
(0)
XRCC6
(0)
YBX1
(0)
YBX3
(0)
YWHAE
(0)
YY1
(0)
ZAP70
(0)
ZBED1
(0)
ZBTB39
(0)
ZBTB46
(0)
ZBTB7B
(0)
ZBTB7C
(0)
ZC3H7A
(0)
ZFP64
(0)
ZFP90
(0)
ZFYVE28
(0)
ZHX3
(0)
ZMYM3
(0)
ZNF157
(0)
ZNF202
(0)
ZNF232
(0)
ZNF239
(0)
ZNF276
(0)
ZNF343
(0)
ZNF358
(0)
ZNF408
(0)
ZNF444
(0)
ZNF488
(0)
ZNF562
(0)
ZNF622
(0)
ZNF639
(0)
ZNF704
(0)
ZNF774
(0)
ZNF804A
(0)
ZNF81
(0)
ZNF846
(0)
ZSCAN12
(0)
ZSCAN2
(0)
ZSCAN29
(0)
ZSCAN5A
(0)
ZXDC
(0)
Isotype
IgA
(0)
IgG
(2)
IgG1
(1)
IgG2
(0)
IgG2a
(1)
IgG2b
(2)
IgG2c
(0)
IgG3
(0)
IgM
(0)
Light Chain
Kappa
(6)
Lambda
(0)
Species Reactivity
African Green Monkey
(0)
All species
(0)
All species for which Mouse Monoclonal Antibody is used
(0)
Amphibian
(0)
Apteronotus Leptorhynchus
(0)
Avian
(0)
Baboon
(0)
Benzylpenicillin
(0)
Bird
(0)
Borrelia Burgdorferi
(0)
Bovine
(0)
Campylobacter Jejuni
(0)
Canine
(0)
Cat
(0)
Chicken
(0)
Chimpanzee
(0)
Clostridium Difficile
(0)
CMV
(0)
Common Marmoset
(0)
Cow
(0)
Cynomolgus Monkey
(0)
Dog
(0)
Drosophila
(0)
Drosophila melanogaster
(0)
E. coli O157
(0)
EBV
(0)
Elk
(0)
Equine
(0)
Ferret
(0)
Fish
(0)
Frog
(0)
Gerbil
(0)
Giardia Lamblia
(0)
Goat
(0)
Gorilla
(0)
Green Monkey
(0)
Guinea Pig
(0)
Hamster
(0)
Hedgehog
(0)
Helicobacter Pylori
(0)
HIV Type 1
(0)
Horse
(0)
HPV-16
(0)
HPV-18
(0)
HSV1
(0)
HSV1 (Herpes Simplex Virus 1)
(0)
HSV2 (Herpes Simplex Virus 2)
(0)
Human
(6)
Macaca artctoids (Stumptail monkey)
(0)
Macaque Monkey
(0)
Marmoset
(0)
Marmoset Monkey
(0)
MBP fusion proteins
(0)
Methicillin-resistant Staphylococcus aureus (MRSA)
(0)
Mink
(0)
Mink (Mustela)
(0)
Monkey
(0)
Mouse
(0)
Non-Human primates
(0)
Orangutan
(0)
Owl monkey
(0)
Pig
(0)
Pigeon
(0)
Pitman Moore
(0)
Pombe
(0)
Porcine
(0)
Primate
(0)
Pseudomonas Aeruginosa Serotype 5C
(0)
Pseudomonas Aeruginosa Serotype 6C
(0)
Quail
(0)
Rabbit
(0)
Rabies Virus of Strains SAD-Vnukovo
(0)
Rat
(0)
Rhesus Monkey
(0)
Rodent
(0)
Saccharomyces Cerevisiae
(0)
Schizosaccharomyces Pombe
(0)
Sheep
(0)
Species Independent
(0)
Squirrel
(0)
Tenerife Lizard
(0)
Turkey
(0)
Turtle
(0)
Woodchuck
(0)
Xenopus
(0)
Xenopus Laevis
(0)
Yeast
(0)
Yeast (S. pombe and S. cerevisiae)
(0)
Zebrafish
(0)
Nucleus. Cytoplasm. Colocalizes with S100PBP in the nucleus.
Showing all 6 results
Default sorting
Sort by popularity
Sort by average rating
Sort by latest
Sort by price: low to high
Sort by price: high to low
2
Recombinant
In Stock
Recombinant S100P / MIG9 Antibody [S100P/9135R]
$
259.00
–
$
559.00
Price range: $259.00 through $559.00
Catalog Number:
6286-RBM9
Gene:
S100P
Application:
Immunohistochemistry
Reactivity:
Human
Host:
Rabbit
Isotype:
IgG
2
Recombinant
In Stock
Recombinant S100P / MIG9 Antibody [rS100P/9254]
$
259.00
–
$
559.00
Price range: $259.00 through $559.00
Catalog Number:
6286-MSM11
Gene:
S100P
Application:
Immunohistochemistry
Reactivity:
Human
Host:
Mouse
Isotype:
IgG2b
3
Recombinant
In Stock
Recombinant S100P / MIG9 Antibody [S100P/7978R]
$
259.00
–
$
559.00
Price range: $259.00 through $559.00
Catalog Number:
6286-RBM8
Gene:
S100P
Application:
Immunohistochemistry
Reactivity:
Human
Host:
Rabbit
Isotype:
IgG
2
In Stock
S100P / MIG9 Antibody [S100P/7375]
$
259.00
–
$
559.00
Price range: $259.00 through $559.00
Catalog Number:
6286-MSM5
Gene:
S100P
Application:
Immunohistochemistry
Reactivity:
Human
Host:
Mouse
Isotype:
IgG2a
2
In Stock
S100P / MIG9 Antibody [S100P/7374]
$
259.00
–
$
559.00
Price range: $259.00 through $559.00
Catalog Number:
6286-MSM4
Gene:
S100P
Application:
Immunohistochemistry
Reactivity:
Human
Host:
Mouse
Isotype:
IgG1
8
In Stock
S100P / MIG9 Antibody [S100P/7373]
$
259.00
–
$
559.00
Price range: $259.00 through $559.00
Catalog Number:
6286-MSM3
Gene:
S100P
Application:
Immunohistochemistry, Western Blot
Reactivity:
Human
Host:
Mouse
Isotype:
IgG2b
PARTNERSHIP OPPORTUNITIES
NeoBiotechnologies holds
Exclusive rights
to 10,000 recombinant and hybridoma antibody products, available for
Licensing or Collaboration.
LETS TALK
Let’s Talk
Search Primary Antibodies
Call Us Now:
1-866-2-NEOBIO
(1-866-263-6246)
Company Info
News
Refund and Returns Policy
Terms of Service
Legacy Website
Track Your Order
Quality policies
Help & Support
×
Get live help from one of our scientists
Monday-Friday 8:00am – 8:00pm PST
Call
1-866-263-6246
Message
Contact Form
WhatsApp
+1 (510) 726-2643
×
Contact Us
Name
(Required)
Email
(Required)
Phone
Subject
Reason for Contact
General Inquiry
Order Information
Add to Vendor Platform
Bulk Orders and Custom Formulations
Licensing
Message
×
Get a Quote
Name
(Required)
Email
(Required)
Phone
(Required)
Company Name
Subject
Message
S100P / MIG9 Antibody