
SDS-PAGE Analysis of Purified S100P Mouse Monoclonal Antibody (S100P/7373). Confirmation of Purity and Integrity of Antibody.

Western blot analysis of SK-BR3 cell lysate using S100P Mouse Monoclonal Antibody (S100P/7373).

Formalin-fixed, paraffin-embedded human placenta stained with S100P Mouse Monoclonal Antibody (S100P/7373). Inset: PBS instead of primary antibody; secondary only negative control.

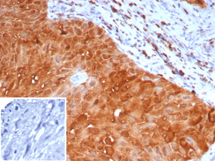
Formalin-fixed, paraffin-embedded human lung cancer stained with S100P Mouse Monoclonal Antibody (S100P/7373). HIER: Tris/EDTA, pH9.0, 45min. 2°: HRP-polymer, 30min. DAB, 5min.

Formalin-fixed, paraffin-embedded human bladder stained with S100P Mouse Monoclonal Antibody (S100P/7373). Inset: PBS instead of primary antibody; secondary only negative control.

Formalin-fixed, paraffin-embedded human kidney stained with S100P Mouse Monoclonal Antibody (S100P/7373). HIER: Tris/EDTA, pH9.0, 45min. 2°: HRP-polymer, 30min. DAB, 5min.
S100P is a 95-amino-acid protein and a member of the S100 family. S100P has been shown to mediate tumor growth, metastasis and invasion through the binding of Ca2+ ions, receptor for advanced glycation end products, cytoskeletal protein ezrin, calcyclin-binding protein/Siah-1-interacting protein and cathepsin D.S100P highly expressed in human placenta, gastrointestinal tract, and esophageal mucosa, but always negative in pancreas and liver. Overexpression of S100P has been detected in several cancers such as breast, colon, prostate, pancreatic and lung carcinomas, and the protein has been functionally implicated in carcinogenic processes. S100P could potentially serve as diagnostic marker, prognostic/predictive indicator and therapy target for different carcinomas.
There are no reviews yet.