
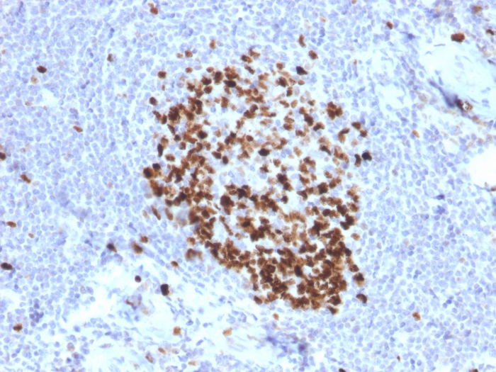
Formalin-fixed, paraffin-embedded human Tonsil stained with Ki67 Mouse Monoclonal Antibody (MKI67/2466).

Confocal Immunofluorescence image of HeLa cells using Ki67 Mouse Monoclonal Antibody (MKI67/2466) Green (CF488) and Phalloidin (Purple) is used to label the membranes

SDS-PAGE Analysis Purified Ki67 Mouse Monoclonal Antibody (MKI67/2466). Confirmation of Purity and Integrity of Antibody.

Flow Cytometric Analysis of HeLa cells using Ki67 Mouse Monoclonal Antibody (MKI67/2466). Goat anti-Mouse IgG-CF488 (Blue); Isotype Control (Red).

Analysis of Protein Array containing more than 19,000 full-length human proteins using Ki67 Mouse Monoclonal Antibody (MKI67/2466). Z- and S- Score: The Z-score represents the strength of a signal that a monoclonal antibody (MAb) (in combination with a fluorescently-tagged anti-IgG secondary antibody) produces when binding to a particular protein on the HuProtTM array. Z-scores are described in units of standard deviations (SD's) above the mean value of all signals generated on that array. If targets on HuProtTM are arranged in descending order of the Z-score, the S-score is the difference (also in units of SD's) between the Z-score. S-score therefore represents the relative target specificity of a MAb to its intended target. A MAb is considered to specific to its intended target, if the MAb has an S-score of at least 2.5. For example, if a MAb binds to protein X with a Z-score of 43 and to protein Y with a Z-score of 14, then the S-score for the binding of that MAb to protein X is equal to 29.
Ki-67 antigen is a nuclear, non-histone protein that is present in all stages of the cell cycle except G0. This characteristic makes Ki-67 an excellent marker for proliferating cells and is commonly used as one of the prognostic factors in cancer studies. A correlation has been demonstrated between Ki-67 index and the histo-pathological grade of neoplasms. Assessment of Ki-67 expression in renal and ureter tumors shows a correlation between tumor proliferation and disease progression, thus making it possible to differentiate high-risk patients. Ki-67 expression may also prove to be important for distinguishing between malignant and benign peripheral nerve sheath tumors. Ki-67 labeling index has been shown to be a prognostic marker in a number of neoplasms including grade II astrocytoma, oligodendroglioma, colon carcinoma, and breast carcinoma. In general, Ki-67 is a good marker of proliferating cell populations.
There are no reviews yet.