TOM1L1 (Target of Myb1 Like 1 Membrane Trafficking Protein) Antibody [TOM1L1/4690]

In Stock
Catalog Number Formulation Size Price
10040-MSM1-P0
Purified Ab with BSA and Azide at 200ug/ml
20ug
$259.00
10040-MSM1-P1
Purified Ab with BSA and Azide at 200ug/ml
100ug
$559.00
10040-MSM1-P1ABX
Purified Ab WITHOUT BSA and Azide at 1.0mg/ml
100ug
$559.00
Flat Rate Domestic: $95 | Orders outside the US - Contact Us for Order Information | Ships next business day

Applications & Dilutions

Applications Tested Dillution Protocol Note
Immunohistochemistry (IHC)
1-2ug/ml
30 min at RT. Staining of formalin-fixed tissues requires heating tissue sections in 10mM Tris with 1mM EDTA, pH 9.0, for 45 min at 95°C followed by cooling at RT for 20 minutes

Summary

Tom1 (target of Myb 1) is a 492 amino acid cytoplasmic protein that belongs to the Tom1 family. Widely expressed with highest expression in heart, liver, placenta and skeletal muscle, Tom1 is thought to be involved in intracellular trafficking and may be associated with the translocation of ubiquitinated proteins to early endosomes for degradation. Tom1 contains one GAT domain and one VHS domain through which it interacts and complexes with proteins such as Tollip and endofin (also known as SARA). These interactions recruit Tom1 to the endosome, allowing it to participate in the endosomal trafficking of ubiquitin-tagged proteins.

Product Properties & Targets

Antibody Type
Host
Mouse
Applications
Species Reactivity
Isotype / Light Chain
IgG1 / Kappa
Cellular Localization
Cytoplasm, Endosome membrane, Golgi apparatus, Golgi stack, Membrane
Gene Name
Positive Control
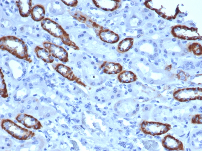
Human kidney.
Immunogen
Recombinant full-length human TOM1L1 protein
Alternate Names
TOM1-like protein 1, Src-activating and signaling molecule protein, Target of Myb-like protein 1, 2310045L10Rik; C80573; OK/KNS CL.3; Src activating and signaling molecule; SRCASM; Target of Myb like protein 1; Target of myb1 (chicken) homolog like 1; Target of myb1 (chicken) like 1; TOM1 like protein 1; TOM1L1 protein

Database Links

Entrez Gene ID
SwissProt

Additional Information

Clone
TOM1L1/4690
Chromosome Location
17q22
Mol. Weight of Antigen
53kDa.

Functions

  • Probable adapter protein involved in signaling pathways. Interacts with the SH2 and SH3 domains of various signaling proteins when it is phosphorylated. May promote FYN activation, possibly by disrupting intramolecular SH3-dependent interactions (By similarity).

Storage & Stability

Antibody with azide - store at 2 to 8 °C. Antibody without azide - store at -20 to -80 °C. Antibody is stable for 24 months. Non-hazardous. No MSDS required.

Limitations

This antibody is available for research use only and is not approved for use in diagnosis.

Supplied as

200ug/ml of Ab purified from Bioreactor Concentrate by Protein A/G. Prepared in 10mM PBS with 0.05% BSA & 0.05% azide. Also available WITHOUT BSA & azide at 1.0mg/ml.

Warranty

There are no warranties, expressed or implied, which extend beyond this description. Company is not liable for any personal injury or economic loss resulting from this product.

Reviews

There are no reviews yet.

Be the first to review “TOM1L1 (Target of Myb1 Like 1 Membrane Trafficking Protein) Antibody”

Your email address will not be published. Required fields are marked *

PARTNERSHIP OPPORTUNITIES

NeoBiotechnologies holds Exclusive rights to 10,000 recombinant and hybridoma antibody products, available for Licensing or Collaboration.

LETS TALK