
SDS-PAGE Analysis of Purified CDH16 Rabbit Recombinant Monoclonal Antibody (CDH16/7028R). Confirmation of Purity and Integrity of Antibody.

IHC analysis of formalin-fixed, paraffin-embedded human thyroid. Stained using CHD16/7028R at 2ug/ml in PBS for 30min RT. Inset: PBS instead of primary antibody; secondary only negative control.

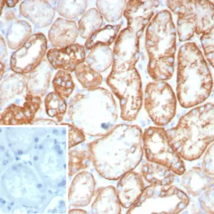
IHC analysis of formalin-fixed, paraffin-embedded human renal cell carcinoma. Stained using CDH16/7028Rat 2ug/ml in PBS for 30min RT. Inset: PBS instead of primary antibody; secondary only negative control.
This MAb recognizes a protein of 130kDa, identified as Ksp-cadherin. Cadherins form a superfamily of related glycoproteins that mediate calcium-dependent cell adhesion and transmit signals from the extracellular matrix to the cytoplasm. Cadherins have been implicated in embryogenesis, tissue morphogenesis, tissue structure maintenance, cell polarization, neoplastic invasiveness and metastasis, and membrane transport. It is suggested that Ksp-cadherin is a marker for terminal differentiation of the basolateral membranes of renal tubular epithelial cells. Within the kidney, Ksp-Cadherin is found exclusively in the basolateral membrane of renal tubular epithelial cells and collecting duct cells, and not in glomeruli, renal interstitial cells, or blood vessels.Ksp-Cadherin has been suggested to distinguish Chromophobe Renal-Cell Carcinoma from Oncocytoma.
There are no reviews yet.