
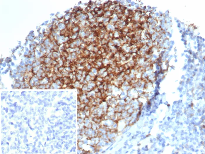
IHC analysis of formalin-fixed, paraffin-embedded human tonsil. Membrane stained using FCER2/6889 at 2ug/ml in PBS for 30min RT. Inset: PBS instead of primary antibody; secondary only negative control.

SDS-PAGE Analysis of Purified Low affinity immunoglobulin epsilon Fc receptor | Low affinity immunoglobulin epsilon Fc receptor membrane-bound form | Low affinity immunoglobulin epsilon Fc receptor soluble form Mouse Monoclonal Antibody (FCER2/6889). Confirmation of Purity and Integrity of Antibody.

SDS-PAGE Analysis of Purified Low affinity immunoglobulin epsilon Fc receptor | Low affinity immunoglobulin epsilon Fc receptor membrane-bound form | Low affinity immunoglobulin epsilon Fc receptor soluble form Mouse Monoclonal Antibody (FCER2/6889). Confirmation of Purity and Integrity of Antibody.
CD23 (FCE2) is a type II integral membrane glycoprotein that is expressed on mature B cells, monocytes, eosinophils, platelets and dendritic cells. CD23 is a low affinity IgE receptor that mediates IgE-dependent cytotoxicity and phagocytosis by macrophages and eosinophils. CD23 associates as an oligomer where cooperative binding of at least two lectin domains is required for high affinity IgE binding to CD23. It may play a role in antigen presentation by B cells by interacting with CD40. CD23 has been shown to be associated with the Fyn tyrosine kinase. The truncated molecule can be secreted, then function as a potent mitogenic growth factor. CD23 is expressed on a subpopulation of peripheral blood cells, B-lymphocytes and on EBV transformed B lymphoblastoid cell lines. CD23 is also detected in neoplastic cells from cases of B cell chronic lymphocytic leukemia and some cases on centroblastic/centrocytic lymphoma.
There are no reviews yet.