
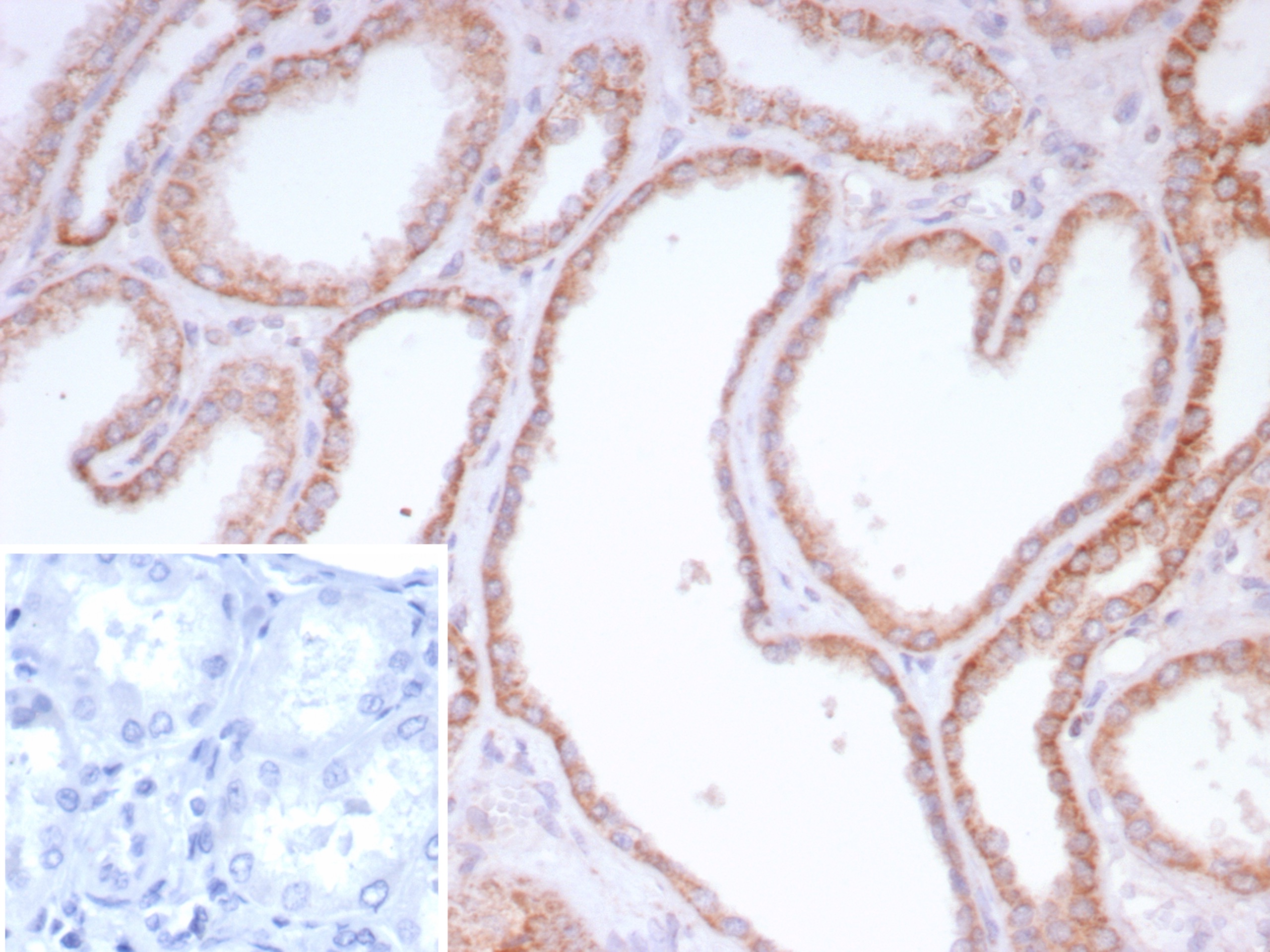
Formalin-fixed, paraffin-embedded human testis stained with TEK Mouse Monoclonal Antibody (TEK/9411). Inset: PBS instead of primary antibody; secondary only negative control.
This gene encodes a receptor that belongs to the protein tyrosine kinase Tie2 family. The encoded protein possesses a unique extracellular region that contains two immunoglobulin-like domains, three epidermal growth factor (EGF)-like domains and three fibronectin type III repeats. The ligand angiopoietin-1 binds to this receptor and mediates a signaling pathway that functions in embryonic vascular development. Mutations in this gene are associated with inherited venous malformations of the skin and mucous membranes. Alternative splicing results in multiple transcript variants. Additional alternatively spliced transcript variants of this gene have been described, but their full-length nature is not known.
There are no reviews yet.