
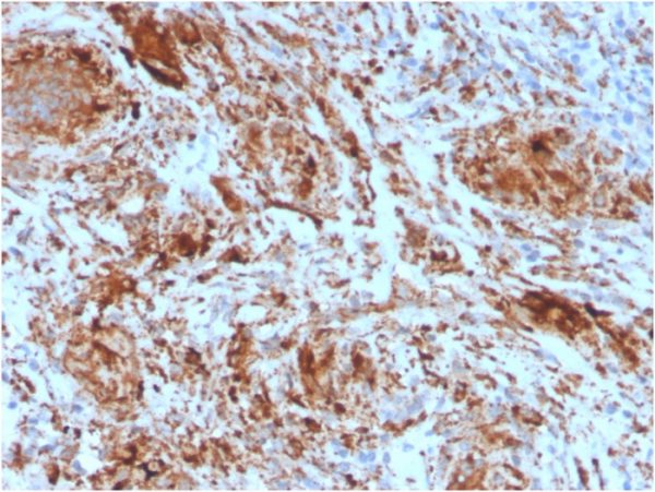
Formalin-fixed, paraffin-embeddedhuman lymph node stained with TIM3 Mouse Monoclonal Antibody (TIM3/4025).

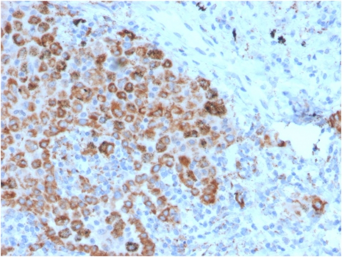
Formalin-fixed, paraffin-embeddedhuman tonsil stained with TIM3 Mouse Monoclonal Antibody (TIM3/4025).

SDS-PAGE Analysis Purified TIM3 Mouse Monoclonal Antibody (TIM3/4025). Confirmation of Purity and Integrity of Antibody.

Analysis of Protein Array containing more than 19,000 full-length human proteins using TIM3 Mouse Monoclonal Antibody (TIM3/4025) Z- and S- Score: The Z-score represents the strength of a signal that a monoclonal antibody (MAb) (in combination with a fluorescently-tagged anti-IgG secondary antibody) produces when binding to a particular protein on the HuProtTM array. Z-scores are described in units of standard deviations (SD's) above the mean value of all signals generated on that array. If targets on HuProtTM are arranged in descending order of the Z-score, the S-score is the difference (also in units of SD's) between the Z-score. S-score therefore represents the relative target specificity of a MAb to its intended target. A MAb is considered to specific to its intended target, if the MAb has an S-score of at least 2.5. For example, if a MAb binds to protein X with a Z-score of 43 and to protein Y with a Z-score of 14, then the S-score for the binding of that MAb to protein X is equal to 29.
TIMs are type I transmembrane glycoproteins with one Ig-like V-type domain and a Ser/Thr-rich mucin stalk. TIM-3 is expressed on the surface of effector T cel tonsil, lymph node or spleen. ls (CD4+Th1 and CD8+Tc1) but not on helper T cells (CD4+Th2 and CD8+Tc2). In chronic inflammation, autoimmune disorders, and some cancers, TIM-3 is upregulated on several other hematopoietic cell types. The Ig domain of TIM-3 interacts with a ligand on resting but not activated Th1 and Th2 cells. The glycosylated Ig domain of TIM-3 binds cell-associated galectin-9. This induces TIM-3 Tyr phosphorylation and pro-apoptotic signaling. TIM-3 functions as a negative regulator of Th1 cell activity. Its blockade results in increased IFN-gamma production, Th1 cell proliferation and cytotoxicity, regulatory T cell development, and increases in macrophage and neutrophil infiltration into sites of inflammation.
There are no reviews yet.