TGF-beta (Transforming Growth Factor beta) Antibody [TGFB/7240]

In Stock
Catalog Number Formulation Size Price
7040-MSM4-P0
Purified Ab with BSA and Azide at 200ug/ml
20ug
$259.00
7040-MSM4-P1
Purified Ab with BSA and Azide at 200ug/ml
100ug
$559.00
7040-MSM4-P1ABX
Purified Ab WITHOUT BSA and Azide at 1.0mg/ml
100ug
$559.00
Flat Rate Domestic: $95 | Orders outside the US - Contact Us for Order Information | Ships next business day

Applications & Dilutions

Applications Tested Dillution Protocol Note
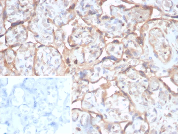
Immunohistochemistry (IHC)
1-2ug/ml
30 min at RT. Staining of formalin-fixed tissues requires heating tissue sections in 10mM Tris with 1mM EDTA, pH 9.0, for 45 min at 95°C followed by cooling at RT for 20 minutes

Summary

This MAb recognizes TGF beta 1, 2 and 3. Three TGFβs have been identified in mammals. TGFβ1, TGFβ2 and TGFβ3 are each synthesized as precursor proteins that are very similar in that each is cleaved to yield a 112 amino acid polypeptide that remains associated with the latent portion of the molecules. Biologically active TGFβ requires dimerization of the monomers (usually homodimers) and release of the latent peptide portion. Overall, the mature region of the TGFβ3 protein has approximately 80% identity to the mature region of both TGFβ1 and TGFβ2. However, the NH2 terminals or precursor regions of their molecules share only 27% sequence identity. TGFβ s inhibits the growth of epithelial cells and stimulate the growth of mesenchymal cells. �

Product Properties & Targets

Antibody Type
Host
Mouse
Applications
Species Reactivity
Isotype / Light Chain
IgG2 / Kappa
Cellular Localization
Cytoplasm, Secreted
Gene Name
Positive Control
Salivary gland carcinoma
Immunogen
Recombinant fragment (around aa200-390) of human TGFB protein
Alternate Names
Transforming growth factor beta-1 proprotein | Latency-associated peptide | Transforming growth factor beta-1, ARVD; BSC 1 cell growth inhibitor; CED; Cetermin; Diaphyseal dysplasia 1 (DPD1); Glioblastoma derived T cell suppressor factor (G TSF); Latency-associated peptide (LAP); Polyergin; Transforming growth factor beta 1 (TGF beta1 or TGFB1); TGF beta2 (TGFB2); TGF beta3 (TGFB3); TGFbeta (TGFB)

Database Links

Entrez Gene ID
SwissProt

Additional Information

Clone
TGFB/7240
Chromosome Location
19q13.1
Mol. Weight of Antigen
13kDa

Functions

  • Transforming growth factor beta-1 proprotein: Precursor of the Latency-associated peptide (LAP) and Transforming growth factor beta-1 (TGF-beta-1) chains, which constitute the regulatory and active subunit of TGF-beta-1, respectively.
  • Required to maintain the Transforming growth factor beta-1 (TGF-beta-1) chain in a latent state during storage in extracellular matrix (PubMed:28117447). Associates non-covalently with TGF-beta-1 and regulates its activation via interaction with 'milieu molecules', such as LTBP1, LRRC32/GARP and LRRC33/NRROS, that control activation of TGF-beta-1 (PubMed:2022183, PubMed:8617200, PubMed:8939931, PubMed:19750484, PubMed:22278742, PubMed:19651619). Interaction with LRRC33/NRROS regulates activation of TGF-beta-1 in macrophages and microglia (Probable). Interaction with LRRC32/GARP controls activation of TGF-beta-1 on the surface of activated regulatory T-cells (Tregs) (PubMed:19750484, PubMed:22278742, PubMed:19651619). Interaction with integrins (ITGAV:ITGB6 or ITGAV:ITGB8) results in distortion of the Latency-associated peptide chain and subsequent release of the active TGF-beta-1 (PubMed:22278742, PubMed:28117447).
  • Multifunctional protein that regulates the growth and differentiation of various cell types and is involved in various processes, such as normal development, immune function, microglia function and responses to neurodegeneration (By similarity). Activation into mature form follows different steps: following cleavage of the proprotein in the Golgi apparatus, Latency-associated peptide (LAP) and Transforming growth factor beta-1 (TGF-beta-1) chains remain non-covalently linked rendering TGF-beta-1 inactive during storage in extracellular matrix (PubMed:29109152). At the same time, LAP chain interacts with 'milieu molecules', such as LTBP1, LRRC32/GARP and LRRC33/NRROS that control activation of TGF-beta-1 and maintain it in a latent state during storage in extracellular milieus (PubMed:2022183, PubMed:8617200, PubMed:8939931, PubMed:19750484, PubMed:22278742, PubMed:19651619). TGF-beta-1 is released from LAP by integrins (ITGAV:ITGB6 or ITGAV:ITGB8): integrin-binding to LAP stabilizes an alternative conformation of the LAP bowtie tail and results in distortion of the LAP chain and subsequent release of the active TGF-beta-1 (PubMed:22278742, PubMed:28117447). Once activated following release of LAP, TGF-beta-1 acts by binding to TGF-beta receptors (TGFBR1 and TGFBR2), which transduce signal (PubMed:20207738). While expressed by many cells types, TGF-beta-1 only has a very localized range of action within cell environment thanks to fine regulation of its activation by Latency-associated peptide chain (LAP) and 'milieu molecules' (By similarity). Plays an important role in bone remodeling: acts as a potent stimulator of osteoblastic bone formation, causing chemotaxis, proliferation and differentiation in committed osteoblasts (By similarity). Can promote either T-helper 17 cells (Th17) or regulatory T-cells (Treg) lineage differentiation in a concentration-dependent manner (By similarity). At high concentrations, leads to FOXP3-mediated suppression of RORC and down-regulation of IL-17 expression, favoring Treg cell development (By similarity). At low concentrations in concert with IL-6 and IL-21, leads to expression of the IL-17 and IL-23 receptors, favoring differentiation to Th17 cells (By similarity). Stimulates sustained production of collagen through the activation of CREB3L1 by regulated intramembrane proteolysis (RIP) (PubMed:25310401). Mediates SMAD2/3 activation by inducing its phosphorylation and subsequent translocation to the nucleus (PubMed:25893292, PubMed:29483653, PubMed:30696809). Can induce epithelial-to-mesenchymal transition (EMT) and cell migration in various cell types (PubMed:25893292, PubMed:30696809).

Key References

  • Miller, D.A., et al. 1990. Ann. N.Y. Acad. Sci. 593: 208-217.

PubMed Links

Storage & Stability

Antibody with azide - store at 2 to 8°C. Antibody without azide - store at -20 to -80°C.Antibody is stable for 24 months. Non-hazardous. No MSDS required.

Limitations

This antibody is available for research use only and is not approved for use in diagnosis.

Supplied as

200ug/ml of Ab purified from Bioreactor Concentrate by Protein A/G. Prepared in 10mM PBS with 0.05% BSA & 0.05% azide. Also available WITHOUT BSA & azide at 1.0mg/ml.

Warranty

There are no warranties, expressed or implied, which extend beyond this description. Company is not liable for any personal injury or economic loss resulting from this product.

Reviews

There are no reviews yet.

Be the first to review “TGF-beta (Transforming Growth Factor beta) Antibody”

Your email address will not be published. Required fields are marked *

PARTNERSHIP OPPORTUNITIES

NeoBiotechnologies holds Exclusive rights to 10,000 recombinant and hybridoma antibody products, available for Licensing or Collaboration.

LETS TALK