PDGFR-A (Platelet Derived Growth Factor Receptor, alpha) / CD140a Antibody [PDGFRA/7407]

In Stock
Catalog Number Formulation Size Price
5156-MSM1-P0
Purified Ab with BSA and Azide at 200ug/ml
20ug
$259.00
5156-MSM1-P1
Purified Ab with BSA and Azide at 200ug/ml
100ug
$559.00
5156-MSM1-P1ABX
Purified Ab WITHOUT BSA and Azide at 1.0mg/ml
100ug
$559.00
Flat Rate Domestic: $95 | Orders outside the US - Contact Us for Order Information | Ships next business day

Applications & Dilutions

Applications Tested Dillution Protocol Note
Immunohistochemistry (IHC)
1-2ug/ml
30 min at RT. Staining of formalin-fixed tissues requires heating tissue sections in 10mM Tris with 1mM EDTA, pH 9.0, for 45 min at 95°C followed by cooling at RT for 20 minutes

Summary

Platelet-derived growth factor (PDGF) is a mitogen for mesenchyme- and glia-derived cells. PDGF consists of two chains, A and B, which dimerize to form functionally distinct isoforms, PGDF-AA, PDGF-AB and PDGF-BB. These three isoforms bind with different affinities to two receptor types, PDGFR-a and -β, which are endowed with protein tyrosine kinase domains. PDGFR-a can bind to both A and B subunits of PDGF, while PDGFR-β can only bind the B subunit. Ligand binding promotes either homo- or heterodimerization of the PDGF receptors in a specific manner. PDGF-AA induces the dimerization of two a receptors, PDGF-AB induces dimerization of aa and aβ and PDGF-BB induces the formation of three types of dimers, aa, aβ and ββ. Translocation of the PDGFR-β gene with the Tel gene is linked to chronic myelomonocytic leukemia (CMML), a myelodysplastic syndrome, and demonstrates the oncogenic potential of the PDGF receptors.

Product Properties & Targets

Antibody Type
Host
Mouse
Applications
Species Reactivity
Isotype / Light Chain
IgG1 / Kappa
Cellular Localization
Membrane.
Gene Name
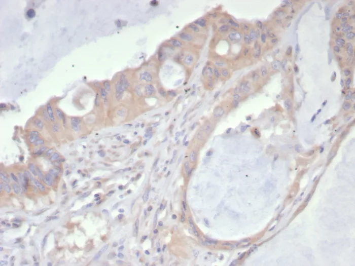
Positive Control
metastatic colon tumors and normal colon. Tumors may express a different isoform to that found in normal tissue.|Primary
Immunogen
Recombinant fragment (around aa1-200) of human PDGFRA protein (exact sequence is proprietary)
Alternate Names
Platelet-derived growth factor receptor alpha, Alpha platelet-derived growth factor receptor, Alpha-type platelet-derived growth factor receptor, CD140 antigen-like family member A, CD140a antigen, Platelet-derived growth factor alpha receptor, Platelet-derived growth factor receptor 2, Alpha-type platelet-derived growth factor receptor; CD140 antigen-like family member A; PDGFR 2; PDGFRA/BCR fusion; Platelet derived growth factor receptor 2; Platelet derived growth factor receptor alpha polypeptide; Rearranged in hypereosinophilia platelet derived growth factor receptor alpha fusion protein; RHEPDGFRA

Database Links

Entrez Gene ID
SwissProt

Additional Information

Clone
PDGFRA/7407
Chromosome Location
4q12
Mol. Weight of Antigen
170kDa

Functions

  • Tyrosine-protein kinase that acts as a cell-surface receptor for PDGFA, PDGFB and PDGFC and plays an essential role in the regulation of embryonic development, cell proliferation, survival and chemotaxis. Depending on the context, promotes or inhibits cell proliferation and cell migration. Plays an important role in the differentiation of bone marrow-derived mesenchymal stem cells. Required for normal skeleton development and cephalic closure during embryonic development. Required for normal development of the mucosa lining the gastrointestinal tract, and for recruitment of mesenchymal cells and normal development of intestinal villi. Plays a role in cell migration and chemotaxis in wound healing. Plays a role in platelet activation, secretion of agonists from platelet granules, and in thrombin-induced platelet aggregation. Binding of its cognate ligands - homodimeric PDGFA, homodimeric PDGFB, heterodimers formed by PDGFA and PDGFB or homodimeric PDGFC -leads to the activation of several signaling cascades; the response depends on the nature of the bound ligand and is modulated by the formation of heterodimers between PDGFRA and PDGFRB. Phosphorylates PIK3R1, PLCG1, and PTPN11. Activation of PLCG1 leads to the production of the cellular signaling molecules diacylglycerol and inositol 1, 4, 5-trisphosphate, mobilization of cytosolic Ca(2+) and the activation of protein kinase C. Phosphorylates PIK3R1, the regulatory subunit of phosphatidylinositol 3-kinase, and thereby mediates activation of the AKT1 signaling pathway. Mediates activation of HRAS and of the MAP kinases MAPK1/ERK2 and/or MAPK3/ERK1. Promotes activation of STAT family members STAT1, STAT3 and STAT5A and/or STAT5B. Receptor signaling is down-regulated by protein phosphatases that dephosphorylate the receptor and its down-stream effectors, and by rapid internalization of the activated receptor.

Key References

  • Ross, R., et al. 1986. The biology of platelet-derived growth factor. Cell 46: 155-169.

PubMed Links

Storage & Stability

Antibody with azide - store at 2 to 8°C. Antibody without azide - store at -20 to -80°C.Antibody is stable for 24 months. Non-hazardous. No MSDS required.

Limitations

This antibody is available for research use only and is not approved for use in diagnosis.

Supplied as

200ug/ml of Ab purified from Bioreactor Concentrate by Protein A/G. Prepared in 10mM PBS with 0.05% BSA & 0.05% azide. Also available WITHOUT BSA & azide at 1.0mg/ml.

Warranty

There are no warranties, expressed or implied, which extend beyond this description. Company is not liable for any personal injury or economic loss resulting from this product.

Reviews

There are no reviews yet.

Be the first to review “PDGFR-A (Platelet Derived Growth Factor Receptor, alpha) / CD140a Antibody”

Your email address will not be published. Required fields are marked *

PARTNERSHIP OPPORTUNITIES

NeoBiotechnologies holds Exclusive rights to 10,000 recombinant and hybridoma antibody products, available for Licensing or Collaboration.

LETS TALK