
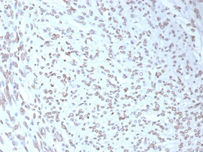
Formalin-fixed, paraffin-embedded human liposarcoma stained with MDM2 Mouse Monoclonal Antibody (MDM2/7943). HIER: Tris/EDTA, pH9.0, 45min. 2°C: HRP-polymer, 30min. DAB, 5min.
MDM2 is a nuclear phosphoprotein that binds and inhibits transactivation by tumor protein p53. It can promote tumor formation by targeting tumor suppressor proteins, such as p53, for proteasomal degradation. Overexpression of MDM2 can result in excessive inactivation of tumor protein p53, diminishing its tumor suppressor function.This protein also affects the cell cycle, apoptosis, and tumorigenesis through interactions with other proteins, including retinoblastoma 1 and ribosomal protein L5. Overexpression of MDM2 protein is detected in a variety of cancers.
There are no reviews yet.