
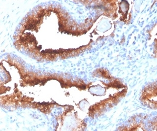
Formalin-fixed, paraffin-embedded human prostate carcinoma stained with FOLH1 (PSMA) Mouse Monoclonal Antibody (FOLH1/3734). HIER: Tris/EDTA, pH9.0, 45min. 2 °: HRP-polymer, 30min. DAB, 5min.

Formalin-fixed, paraffin-embedded human prostate carcinoma stained with FOLH1 (PSMA) Mouse Monoclonal Antibody (FOLH1/3734). HIER: Tris/EDTA, pH9.0, 45min. 2 °: HRP-polymer, 30min. DAB, 5min.

Western Blot Analysis of LNCap cell lysate using FOLH1 Mouse Monoclonal Antibody (FOLH1/3734)
Folate hydrolase 1 (FOLH1), also known as Prostate-specific membrane antigen (PSMA), is a type II transmembrane glycoprotein belonging to the M28 peptidase family. FOLH1 has two enzymatic activities, one as a prostate-specific integral membrane folate hydrolase and the other as a carboxypeptidase In the prostate the protein is up-regulated in cancerous cells and is used as an effective diagnostic and prognostic indicator of prostate cancer.
There are no reviews yet.