
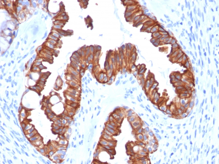
Formalin-fixed, paraffin-embedded human endometrial carcinoma stained with CK7 Recombinant Mouse Monoclonal Antibody (rOV-TL12/30).

Western Blot Analysis of human HeLa cell lysate using CK7 Recombinant Mouse Monoclonal Antibody (rOV-TL12/30).

SDS-PAGE Analysis Purified CK7 Recombinant Mouse Monoclonal Antibody (rOV-TL12/30). Confirmation of Purity and Integrity of Antibody.

Flow Cytometric Analysis of HeLa cells using CK7 Recombinant Mouse Monoclonal Antibody (rOV-TL12/30) followed by Goat anti-Mouse IgG-CF488 (Blue); Isotype Control (Red).

Analysis of Protein Array containing more than 19,000 full-length human proteins using Cytokeratin 7 Monospecific Recombinant Mouse Monoclonal Antibody (rOV-TL12/30).Z- and S- Score: The Z-score represents the strength of a signal that a monoclonal antibody (MAb) (in combination with a fluorescently-tagged anti-IgG secondary antibody) produces when binding to a particular protein on the HuProtTM array. Z-scores are described in units of standard deviations (SD’s) above the mean value of all signals generated on that array. If targets on HuProtTM are arranged in descending order of the Z-score, the S-score is the difference (also in units of SD’s) between the Z-score. S-score therefore represents the relative target specificity of a MAb to its intended target. A MAb is considered to specific to its intended target, if the MAb has an S-score of at least 2.5. For example, if a MAb
It recognizes an intermediate filament protein (IFP) of 55kDa, which is identified as cytokeratin 7. This MAb is highly specific to cytokeratin 7 and shows no cross-reaction with other IFPs. Cytokeratin 7 is a basic cytokeratin, which is found in most glandular and transitional epithelia but not in the stratified squamous epithelia. Keratin 7 is expressed in the epithelial cells of ovary, lung, and breast but not of colon, prostate, or gastrointestinal tract. This MAb is highly useful in distinguishing ovarian carcinomas (keratin 7+) from colon carcinomas (keratin 7-).
There are no reviews yet.