
SDS-PAGE Analysis of Purified CD163L1 Mouse Monoclonal Antibody (CD163L1/7971). Confirmation of Purity and Integrity of Antibody.

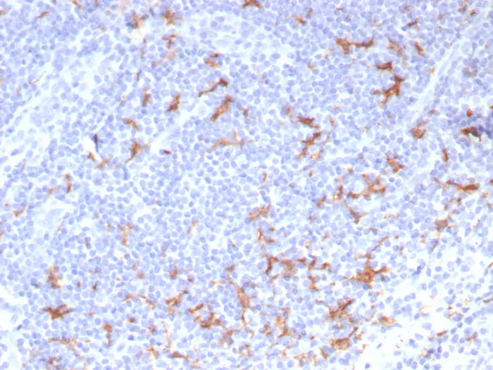
Formalin-fixed, paraffin-embedded human lymph node stained with CD163L1 Mouse Monoclonal Antibody (CD163L1/7971). Inset: PBS instead of primary antibody; secondary only negative control.
CD163L1 (CD163 molecule-like 1), also known as scavenger receptor cysteinerich type 1 protein M160 or CD163B, is a 1,453 amino acid protein that belongs to the scavenger receptor cysteine-rich (SRCR) superfamily. Members of the SRCR family contain SRCR domains which are used to influence ligand binding and protein-protein interaction, and are found in cells of the immune system where they exist as membrane-anchored or secreted proteins. Containing 12 SRCR domains, CD163L1 undergoes alternative splicing events to produce 3 isoforms. CD163L1 isoforms 1 and 2 are single-pass type I membrane proteins, unlike isoform 3, which is a secreted protein. CD163L1 isoform 1 is abundantly expressed in lymph node, spleen, thymus and fetal liver, and isoform 2 is found exclusively in spleen. The gene encoding CD163L1 maps to human chromosome 12p13.31.
There are no reviews yet.