
SDS-PAGE Analysis of Purified CD147 Mouse Monoclonal Antibody (BSG/7952). Confirmation of Purity and Integrity of Antibody.

Formalin-fixed, paraffin-embedded human placenta stained with CD147 Mouse Monoclonal Antibody (BSG/7952). Inset: PBS instead of primary antibody; secondary only negative control.

Formalin-fixed, paraffin-embedded human renal cell carcinoma stained with CD147 Mouse Monoclonal Antibody (BSG/7952). HIER: Tris/EDTA, pH9.0, 45min. 2°: HRP-polymer, 30min. DAB, 5min.

Western Blot Analysis of HeLa lysate using CD147 Mouse Monoclonal Antibody (BSG/7952).

Western Blot Analysis of HepG2, HeLa and MCF7 cell lysates using CD147 Mouse Monoclonal Antibody (BSG/7952).

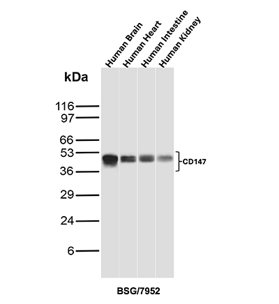
Western Blot Analysis of Human Brain, Human Heart, Human Intestine, and Human Kidney tissue lysates using CD147 Mouse Monoclonal Antibody (BSG/7952).

Western blot analysis of Human Brain, Mouse Brain, Rat Brain, Hamster Brain, Guinea pig Brain, Rabbit Brain, Human Heart, Mouse Heart, Rat Heart, Hamster Heart, Guinea pig Heart, Rabbit Heart, Human Liver, Mouse Liver, Rat Liver, Hamster Liver, Guinea pig Liver, and Rabbit Liver tissue lysates using CD147 Mouse Monoclonal Antibody (BSG/7952).
This MAb recognizes extracellular epitope 2 within the N-terminal Ig domain of human CD147. It is expressed more intensely on thymocytes than on mature peripheral blood T cells. CD147 is important in spermatogenesis, embryo implantation, neural network formation, and tumor progression. It stimulates the production of interstitial collagenase, gelatinase A, stromelysin-1 and various metalloproteinases (MMPs) by fibroblasts. These enzymes are important factors in cancer invasion and metastasis.
There are no reviews yet.