
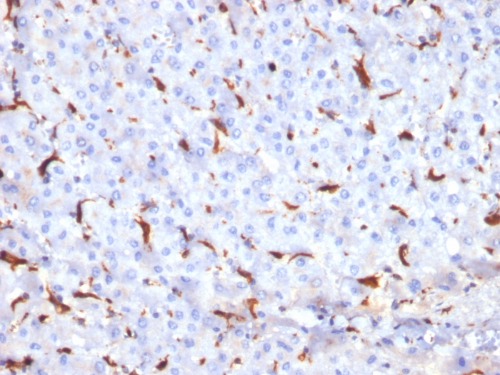
Formalin-fixed, paraffin-embedded human Liver Carcinoma stained with Cathepsin K Mouse Monoclonal Antibody (CTSK/2791).

Formalin-fixed, paraffin-embedded human Liver Carcinoma stained with Cathepsin K Mouse Monoclonal Antibody (CTSK/2791).

Formalin-fixed, paraffin-embedded human Liver stained with Cathepsin K Mouse Monoclonal Antibody (CTSK/2791).

Formalin-fixed, paraffin-embedded human Liver stained with Cathepsin K Mouse Monoclonal Antibody (CTSK/2791).

SDS-PAGE Analysis Purified Cathepsin K Mouse Monoclonal Antibody (CTSK/2791). Confirmation of Purity and Integrity of Antibody

Analysis of Protein Array containing more than 19,000 full-length human proteins using Cathepsin K Mouse Monoclonal Antibody (CTSK/2791) Z- and S- Score: The Z-score represents the strength of a signal that a monoclonal antibody (MAb) (in combination with a fluorescently-tagged anti-IgG secondary antibody) produces when binding to a particular protein on the HuProtTM array. Z-scores are described in units of standard deviations (SD's) above the mean value of all signals generated on that array. If targets on HuProtTM are arranged in descending order of the Z-score, the S-score is the difference (also in units of SD's) between the Z-score. S-score therefore represents the relative target specificity of a MAb to its intended target. A MAb is considered to specific to its intended target, if the MAb has an S-score of at least 2.5. For example, if a MAb binds to protein X with a Z-score of 43 and to protein Y with a Z-score of 14, then the S-score for the binding of that MAb to protein X is equal to 29.
The protein encoded by this gene is a lysosomal cysteine proteinase involved in bone remodeling and resorption. This protein, which is a member of the peptidase C1 protein family, is predominantly expressed in osteoclasts. However, the encoded protein is also expressed in a significant fraction of human breast cancers, where it could contribute to tumor invasiveness. Mutations in this gene are the cause of pycnodysostosis, an autosomal recessive disease characterized by osteosclerosis and short stature.
There are no reviews yet.