Catenin, gamma (Cardiomyocyte Marker) Antibody [CTNG/1483]

In Stock
Catalog Number Formulation Size Price
3728-MSM3-P0
Purified Ab with BSA and Azide at 200ug/ml
20ug
$259.00
3728-MSM3-P1
Purified Ab with BSA and Azide at 200ug/ml
100ug
$559.00
3728-MSM3-P1ABX
Purified Ab WITHOUT BSA and Azide at 1.0mg/ml
100ug
$559.00
Flat Rate Domestic: $95 | Orders outside the US - Contact Us for Order Information | Ships next business day

Applications & Dilutions

Applications Tested Dillution Protocol Note
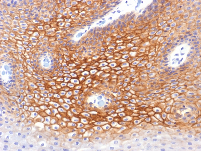
Immunohistochemistry (IHC)
1-2ug/ml
30 min at RT. Staining of formalin-fixed tissues requires heating tissue sections in 10mM Tris with 1mM EDTA, pH 9.0, for 45 min at 95°C followed by cooling at RT for 20 minutes

Summary

It recognizes a protein of 80-87kDa, identified as gamma-catenin. The catenins (-T-catenin, is located on chromosome 10, and mutations in this gene show a strong correlation to late-onset Alzheimer’s disease (LOAD) as well as to dilated cardiomyopathy.

Product Properties & Targets

Antibody Type
Host
Mouse
Applications
Species Reactivity
Isotype / Light Chain
IgG1 / Kappa
Cellular Localization
Adherens junction, Cell junction, Cytoplasm, Cytoskeleton, Desmosome, Membrane
Gene Name
JUP
Positive Control
A431, T47D or MCF-7 cells. Skin.
Immunogen
Recombinant human gamma catenin protein
Alternate Names
Junction plakoglobin, Catenin gamma, Desmoplakin III, Desmoplakin-3, ARVD12; Catenin (cadherin-associated protein), gamma 80kDa; Catenin gamma; CTNNG; Desmoplakin III; Desmoplakin-3; DP3; DPIII; Junction Plakoglobin; PDGB; PKGB

Database Links

Entrez Gene ID
SwissProt

Additional Information

Clone
CTNG/1483
Chromosome Location
17q21
Mol. Weight of Antigen
80-87kDa

Functions

  • Common junctional plaque protein. The membrane-associated plaques are architectural elements in an important strategic position to influence the arrangement and function of both the cytoskeleton and the cells within the tissue. The presence of plakoglobin in both the desmosomes and in the intermediate junctions suggests that it plays a central role in the structure and function of submembranous plaques. Acts as a substrate for VE-PTP and is required by it to stimulate VE-cadherin function in endothelial cells. Can replace beta-catenin in E-cadherin/catenin adhesion complexes which are proposed to couple cadherins to the actin cytoskeleton (By similarity).

Key References

  • Janssens, B., et al. 2001. T-Catenin: a novel tissue-specific -cateninbinding protein mediating strong cell-cell adhesion. J. Cell Sci. 114:3177-3188.

Storage & Stability

Antibody with azide - store at 2 to 8°C. Antibody without azide - store at -20 to -80°C. Antibody is stable for 24 months. Non-hazardous. No MSDS required.

Limitations

This antibody is available for research use only and is not approved for use in diagnosis.

Supplied as

200ug/ml of Ab Purified from Bioreactor Concentrate by Protein A/G. Prepared in 10mM PBS with 0.05% BSA & 0.05% azide. Also available WITHOUT BSA & azide at 1.0mg/ml.

Warranty

There are no warranties, expressed or implied, which extend beyond this description. Company is not liable for any personal injury or economic loss resulting from this product.

Reviews

There are no reviews yet.

Be the first to review “Catenin, gamma (Cardiomyocyte Marker) Antibody”

Your email address will not be published. Required fields are marked *

PARTNERSHIP OPPORTUNITIES

NeoBiotechnologies holds Exclusive rights to 10,000 recombinant and hybridoma antibody products, available for Licensing or Collaboration.

LETS TALK