
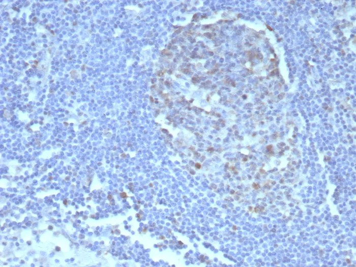
Formalin-fixed, paraffin-embedded human lymph node stained with Caspase 3 Mouse Monoclonal Antibody (CASP3/8446). Inset: PBS instead of primary antibody; secondary only negative control.

Formalin-fixed, paraffin-embedded human tonsil stained with Caspase 3 Mouse Monoclonal Antibody (CASP3/8446). HIER: Tris/EDTA, pH9.0, 45min. 2°C: HRP-polymer, 30min. DAB, 5min.
This MAb recognizes a protein of 32kDa, identified as Caspase 3. It is an aspartate-specific cysteine protease that belongs to the ICE subfamily of caspases. Caspase-3 is expressed in cells as an inactive precursor from which the p17 and p11 subunits of the mature caspase-3 are proteolytically generated during apoptosis. The caspase-3 precursor is first cleaved at Asp 175-Ser 176 to produce the p11 subunit and the p20 peptide. Subsequently, the p20 peptide is cleaved at Asp 28-Ser 29 to generate the mature p17 subunit. The active caspase-3 enzyme is a heterodimer composed of two p17 and two p11 sub- units. At the onset of apoptosis, caspase-3 proteolytically cleaves PARP at a Asp 216-Gly 217 bond. During the execution of the apoptotic cascade, activated caspase-3 releases SREBP from the membrane of the ER in a proteolytic reaction that is distinct from their normal sterol-dependent activation. Caspase-3 cleaves and activates SREBPs between the basic helix-loop-helix leucine zipper domain and the membrane attachment domain. Caspase-3 also cleaves and activates caspase-6, -7 and -9.
There are no reviews yet.