c-Myc Oncoprotein Antibody [MYC275]

In Stock
Catalog Number Formulation Size Price
4609-MSM3-P0
Purified Ab with BSA and Azide at 200ug/ml
20ug
$259.00
4609-MSM3-P1
Purified Ab with BSA and Azide at 200ug/ml
100ug
$559.00
4609-MSM3-P1ABX
Purified Ab WITHOUT BSA and Azide at 1.0mg/ml
100ug
$559.00
Flat Rate Domestic: $95 | Orders outside the US - Contact Us for Order Information | Ships next business day

Applications & Dilutions

Applications Tested Dillution Protocol Note
Flow Cytometry (Flow)
1-2ug/million cells
Immunofluorescence (IF)
1-3ug/ml
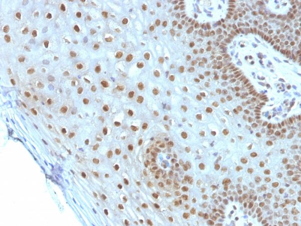
Immunohistochemistry (IHC)
1-2ug/ml
30 min at RT. Staining of formalin-fixed tissues requires heating tissue sections in 10mM Tris with 1mM EDTA, pH 9.0, for 45 min at 95°C followed by cooling at RT for 20 minutes

Summary

The c-Myc protein is a transcription factor, which is encoded by the c-Myc gene on human chromosome 8q24. c-Myc is commonly activated in a variety of tumor cells and plays an important role in cellular proliferation, differentiation, apoptosis and cell cycle progression. The phosphorylation of c-Myc has been investigated and previous studies have suggested a functional association between phosphorylation at Thr58/Ser62 by glycogen synthase kinase 3, cyclin dependent kinase, ERK2 and C-Jun N terminal Kinase (JNK) in cell proliferation and cell cycle regulation. Studies also have shown that c-Myc is essential for tumor cell development in vasculogenesis and angiogenesis that distribute blood throughout the cells, and which brought extensive attention in the development of new therapeutic approach for cancer treatment.

Product Properties & Targets

Antibody Type
Host
Mouse
Species Reactivity
Isotype / Light Chain
IgG1 / Kappa
Cellular Localization
Nucleolus, Nucleoplasm, Nucleus
Gene Name
MYC
Positive Control
HL-60 cells. Cervical Carcinoma.
Immunogen
Recombinant human c-myc protein
Alternate Names
Myc proto-oncogene protein, Class E basic helix-loop-helix protein 39, Proto-oncogene c-Myc, Transcription factor p64, Class E basic helix-loop-helix protein 39 (bHLHe39), MRTL, Myc2, Niard, Nird, Proto-oncogene c-Myc, RNCMYC, Transcription factor p64, Transcriptional regulator Myc-A, V-Myc avian myelocytomatosis viral oncogene homolog

Database Links

Entrez Gene ID
SwissProt

Additional Information

Clone
MYC275
Chromosome Location
8q24.21
Mol. Weight of Antigen
62-64kDa

Functions

  • Transcription factor that binds DNA in a non-specific manner, yet also specifically recognizes the core sequence 5'-CAC[GA]TG-3' (PubMed:24940000, PubMed:25956029). Activates the transcription of growth-related genes (PubMed:24940000, PubMed:25956029). Binds to the VEGFA promoter, promoting VEGFA production and subsequent sprouting angiogenesis (PubMed:24940000, PubMed:25956029). Regulator of somatic reprogramming, controls self-renewal of embryonic stem cells (By similarity). Functions with TAF6L to activate target gene expression through RNA polymerase II pause release (By similarity). Positively regulates transcription of HNRNPA1, HNRNPA2 and PTBP1 which in turn regulate splicing of pyruvate kinase PKM by binding repressively to sequences flanking PKM exon 9, inhibiting exon 9 inclusion and resulting in exon 10 inclusion and production of the PKM M2 isoform (PubMed:20010808).

Key References

  • Evan GI, et. al. Molecular and Cellular Biology, 1985, 5(12):3610-6.

PubMed Links

Storage & Stability

Antibody with azide - store at 2 to 8°C. Antibody without azide - store at -20 to -80°C. Antibody is stable for 24 months. Non-hazardous. No MSDS required.

Limitations

This antibody is available for research use only and is not approved for use in diagnosis.

Supplied as

200ug/ml of Ab Purified from Bioreactor Concentrate by Protein A/G. Prepared in 10mM PBS with 0.05% BSA & 0.05% azide. Also available WITHOUT BSA & azide at 1.0mg/ml.

Warranty

There are no warranties, expressed or implied, which extend beyond this description. Company is not liable for any personal injury or economic loss resulting from this product.

Reviews

There are no reviews yet.

Be the first to review “c-Myc Oncoprotein Antibody”

Your email address will not be published. Required fields are marked *

PARTNERSHIP OPPORTUNITIES

NeoBiotechnologies holds Exclusive rights to 10,000 recombinant and hybridoma antibody products, available for Licensing or Collaboration.

LETS TALK