
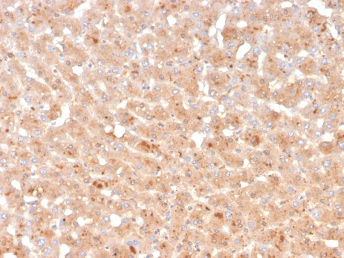
Formalin-fixed, paraffin-embedded human liver stained with Transthyretin Mouse Monoclonal Antibody (TTR/4296).

SDS-PAGE Analysis of Purified Transthyretin Mouse Monoclonal Antibody (TTR/4296). Confirmation of Purity and Integrity of Antibody.

Analysis of Protein Array containing more than 19,000 full-length human proteins using Transthyretin (Prealbumin) Mouse Monoclonal Antibody (TTR/4296). Z- and S- Score: The Z-score represents the strength of a signal that a monoclonal antibody (MAb) (in combination with a fluorescently-tagged anti-IgG secondary antibody) produces when binding to a particular protein on the HuProtTM array. Z-scores are described in units of standard deviations (SD's) above the mean value of all signals generated on that array. If targets on HuProtTM are arranged in descending order of the Z-score, the S-score is the difference (also in units of SD's) between the Z-score. S-score therefore represents the relative target specificity of a MAb to its intended target. A MAb is considered to specific to its intended target, if the MAb has an S-score of at least 2.5. For example, if a MAb binds to protein X with a Z-score of 43 and to protein Y with a Z-score of 14, then the S-score for the binding of that MAb to protein X is equal to 29.

Western blot analysis of human Liver tissue lysate using Transthyretin Mouse Monoclonal Antibody (TTR/4296).
Prealbumin, also designated transthyretin, is a major thyroid-hormone binding protein involved in transporting thyroxine from the bloodstream to the brain. Prealbumin is located in the cytoplasm and in the vesicles of developing rat brain cells, and is thought to be transported there from the cerebrospinal fluid via endocytosis. Sequence variants of this protein have been identified in amyloid fibrils from patients with familial amyloidotic polyneuropathy (FAP), the most common form of hereditary systemic amyloidosis. Although the biologically active form of Prealbumin is a tetramer, the amyloidogenic intermediate is thought to be a monomeric species. Prealbumin also binds to the retinol carrier protein RBP (retinol-binding protein).
There are no reviews yet.