
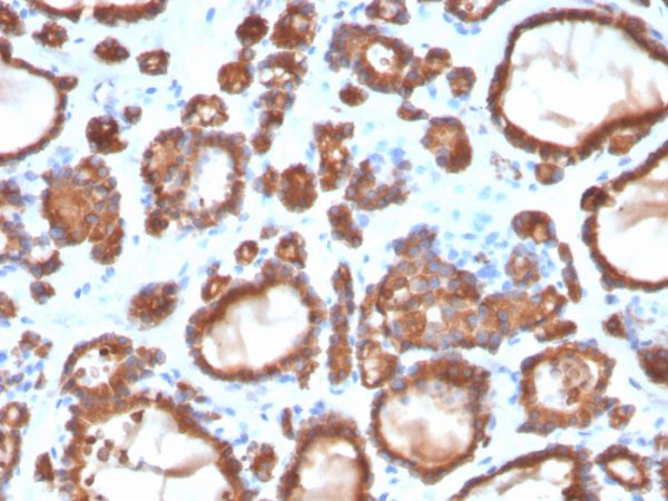
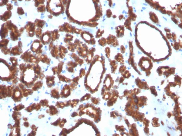
Formalin-fixed, paraffin-embedded human Thyroid Carcinoma stained with Thyroid Peroxidase Mouse Monoclonal Antibody (TPO/3697).

Formalin-fixed, paraffin-embedded human Thyroid Carcinoma stained with Thyroid Peroxidase Mouse Monoclonal Antibody (TPO/3697).

SDS-PAGE Analysis Thyroid Peroxidase Mouse Monoclonal Antibody (TPO/3697). Confirmation of Purity and Integrity of Antibody.

Analysis of Protein Array containing more than 19,000 full-length human proteins using Thyroid Peroxidase Mouse Monoclonal Antibody (TPO/3697). Z- and S- Score: The Z-score represents the strength of a signal that a monoclonal antibody (MAb) (in combination with a fluorescently-tagged anti-IgG secondary antibody) produces when binding to a particular protein on the HuProtTM array. Z-scores are described in units of standard deviations (SD's) above the mean value of all signals generated on that array. If targets on HuProtTM are arranged in descending order of the Z-score, the S-score is the difference (also in units of SD's) between the Z-score. S-score therefore represents the relative target specificity of a MAb to its intended target. A MAb is considered to specific to its intended target, if the MAb has an S-score of at least 2.5. For example, if a MAb binds to protein X with a Z-score of 43 and to protein Y with a Z-score of 14, then the S-score for the binding of that MAb to protein X is equal to 29.
Thyroperoxidase (TPO) is a 933 amino acid, type I transmembrane glycoprotein that plays a key role in thyroid gland function and autoimmunity. It is present as a dimer on the apical surface of thyroid follicular cells. TPO functions in the iodination of tyrosine residues in thyroglobulin and phenoxy-ester formation between pairs of iodinated tyrosines to generate the thyroid hormones, thyroxine and triiodothyronine. Mutations in this gene are associated with several disorders of thyroid hormonogenesis, including congenital hypothyroidism, congenital goiter, and thyroid hormone organification defect IIA. Malignant thyroid tumors exhibit an anomaly in TPO resulting in lower affinity for anti-TPO. This antibody may aid in the differentiation between benign and malignant thyroid tumors.
There are no reviews yet.