
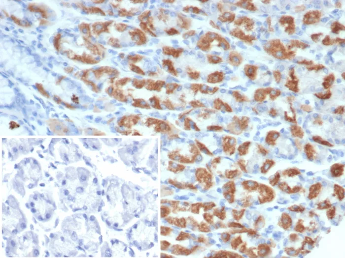
Formalin-fixed, paraffin-embedded human stomach stained with Thrombospondin-1 / THBS1 Mouse Monoclonal Antibody (THBS1/4532). Inset: PBS instead of primary antibody; secondary only negative control.
The thrombospondin proteins (TSP 1-4) compose a family of glycoproteins that are involved in cell-to-cell and cell-to-matrix signaling. These extracellular, cell surface proteins form complexes of both homo- and heteromultimers. Thrombospondins play a role in development, aggregation of platelets, adhesion and migration of cells, and progression of cells through the growth cycle. Thrombospondin 1 is released from platelets in response to Thrombin stimulation and is a transient component of the extracellular matrix of developing and repairing tissues. Thrombospondin 2 shares a high degree of homology with Thrombospondin 1 and is thought to have overlapping but unique functions. Thrombospondin 3 is a developmentally regulated heparin binding protein. Thrombospondin 4 is neuronally expressed and stimulates neurite outgrowth.
There are no reviews yet.