
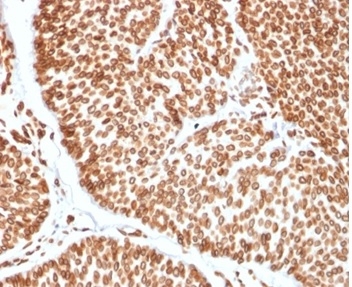
Formalin-fixed, paraffin-embedded human bladder carcinoma stained with TCF4 Mouse Monoclonal Antibody (TCF4/2252) at 2ug/ml. HIER: Tris/EDTA, pH9.0, 45min. 2°C: HRP-polymer, 30min. DAB, 5min.

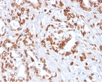
Formalin-fixed, paraffin-embedded human breast carcinoma stained with TCF4 Mouse Monoclonal Antibody (TCF4/2252) at 2ug/ml. HIER: Tris/EDTA, pH9.0, 45min. 2°C: HRP-polymer, 30min. DAB, 5min.
Recognizes a protein of 71kDa, identified as Transcription Factor 4 (TCF4). It is a basic helix-loop-helix transcription factor. The encoded protein recognizes an Ephrussi-box (‘E-box’) binding site (‘CANNTG’) – a motif first identified in immunoglobulin enhancers. This gene is broadly expressed and may play an important role in nervous system development. Defects in this gene are a cause of Pitt-Hopkins syndrome.
There are no reviews yet.