
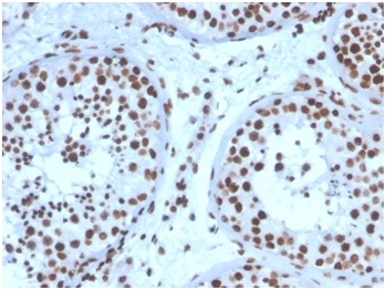
Formalin-fixed, paraffin-embedded human testis stained with SF-1Mouse Monoclonal Antibody (NR5A1/3397).

Formalin-fixed, paraffin-embedded human thymus stained with SF-1 Mouse Monoclonal Antibody (NR5A1/3397).

Analysis of Protein Array containing >19,000 full-length human proteins using Steroidogenic Factor 1 (SF-1) Mouse Monoclonal Antibody (NR5A1/3397). Z- and S- Score: The Z-score represents the strength of a signal that a monoclonal antibody (MAb) (in combination with a fluorescently-tagged anti-IgG secondary antibody) produces when binding to a particular protein on the HuProtTM array. Z-scores are described in units of standard deviations (SD's) above the mean value of all signals generated on that array. If targets on HuProtTM are arranged in descending order of the Z-score, the S-score is the difference (also in units of SD's) between the Z-score. S-score therefore represents the relative target specificity of a MAb to its intended target. A MAb is considered to specific to its intended target, if the MAb has an S-score of at least 2.5. For example, if a MAb binds to protein X with a Z-score of 43 and to protein Y with a Z-score of 14, then the S-score for the binding of that MAb to protein X is equal to 29.
The protein encoded by this gene is a transcriptional activator involved in sex determination. The encoded protein binds DNA as a monomer. Defects in this gene are a cause of XY sex reversal with or without adrenal failure as well as adrenocortical insufficiency without ovarian defect.Steroidogenic Factor 1 (SF-1) is considered an orphan nuclear receptor that belongs to subfamily 5. It was found to be a regulator of steroidogenic enzyme gene expression. Oxysterols are suggested as its ligands. It is expressed in all steroidogenic tissues, including the adrenal cortex, testicular Sertoli cells, and Leydig cells, ovarian theca, hypothalamus, and anterior pituitary. SF-1 plays an important role in adrenal and gonadal development.SF-1 is highly valuable marker to determine the adrenocortical origin of an adrenal mass.
There are no reviews yet.