
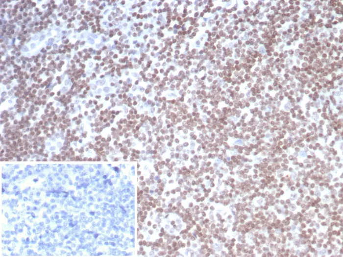
Formalin-fixed, paraffin-embedded human tonsil stained with SMARCAL1 Mouse Monoclonal Antibody (PCRP-SMARCAL1-1C4). Inset: PBS instead of primary antibody; secondary only negative control.

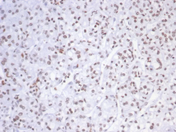
Formalin-fixed, paraffin-embedded human kidney carcinoma stained with SMARCAL1 Mouse Monoclonal Antibody (PCRP-SMARCAL1-1C4). HIER: Tris/EDTA, pH9.0, 45min. 2°C: HRP-polymer, 30min. DAB, 5min.

Analysis of Protein Array containing more than 19,000 full-length human proteins using SMARCAL1 Mouse Monoclonal Antibody (PCRP-SMARCAL1-1C4) Z- and S- Score: The Z-score represents the strength of a signal that a monoclonal antibody (MAb) (in combination with a fluorescently-tagged anti-IgG secondary antibody) produces when binding to a particular protein on the HuProtTM array. Z-scores are described in units of standard deviations (SD's) above the mean value of all signals generated on that array. If targets on HuProtTM are arranged in descending order of the Z-score, the S-score is the difference (also in units of SD's) between the Z-score. S-score therefore represents the relative target specificity of a MAb to its intended target. A MAb is considered to specific to its intended target, if the MAb has an S-score of at least 2.5. For example, if a MAb binds to protein X with a Z-score of 43 and to protein Y with a Z-score of 14, then the S-score for the binding of that MAb to protein X is equal to 29.
SmarcAL1 (SWI/SNF-related matrix-associated Actin-dependent regulator of chromatin subfamily A-like protein 1), also known as HARP (hepA-related protein) or HHARP, is a 954 amino acid member of the SWI/SNF family of helicase and ATPase proteins. Localized to the nucleus, SmarcAL1 is a ubiquitously expressed protein that functions in ATP-dependent nucleosomeremodeling activities. SmarcAL1 contains one conserved C-terminal SNF2 domain, one helicase ATP-binding domain and two HARP domains. Defects in the gene encoding SmarcAL1 are the cause of Schimke immuno-osseous dysplasia (SIOD), an autosomal recessive disorder characterized by renal dysfunction, spondyloepiphyseal dysplasia and T cell immunodeficiency.
There are no reviews yet.