
SDS-PAGE Analysis of Purified SLC18A2 Mouse Monoclonal Antibody (SLC18A2/7983). Confirmation of Purity and Integrity of Antibody.
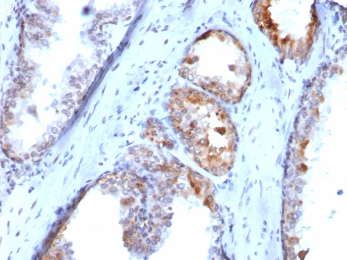
Neurotransmission depends on the regulated exocytotic release of chemical transmitter molecules. This requires the packaging of these substances into the specialized secretory vesicles of neurons and neuroendocrine cells, a process mediated by specific vesicular transporters. The family of genes encoding the vesicular transporters of monoamines (VMAT 1 and VMAT 2) and acetylcholine (VACht) have been cloned and functionally characterized. The sequence of these integral membrane proteins predicts twelve transmembrane domains and weak homology to a class of bacterial antibiotic resistance proteins. The vesicular transport of neurotransmitter molecules has been shown to be an active ATP- and proton dependent transport mechanism.
There are no reviews yet.