SLAMF7 / CS1 / CD319 Antibody [SLAMF7/3649]

In Stock
Catalog Number Formulation Size Price
57823-MSM1-P0
Purified Ab with BSA and Azide at 200ug/ml
20ug
$259.00
57823-MSM1-P1
Purified Ab with BSA and Azide at 200ug/ml
100ug
$559.00
57823-MSM1-P1ABX
Purified Ab WITHOUT BSA and Azide at 1.0mg/ml
100ug
$559.00
Flat Rate Domestic: $95 | Orders outside the US - Contact Us for Order Information | Ships next business day

Applications & Dilutions

Applications Tested Dillution Protocol Note
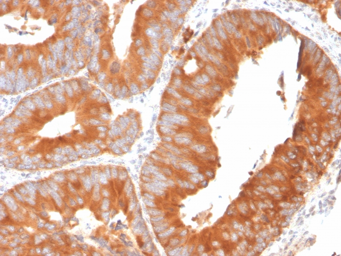
Immunohistochemistry (IHC)
1-2ug/ml
30 min at RT. Staining of formalin-fixed tissues requires heating tissue sections in 10mM Tris with 1mM EDTA, pH 9.0, for 45 min at 95°C followed by cooling at RT for 20 minutes

Summary

CS1, also known as novel Ly9, SLAMF7, 19A24 or CRACC, is a homophilic cell surface receptor. It is a member of the SLAM (signaling lymphocytic activation molecule) family of receptors expressed on natural killer (NK) cells, T cells and stimulated B cells. CS1 contains immunoreceptor tyrosine-based switch motifs in its cytoplasmic domain but, unlike other SLAM receptors, it does not recruit SAP (SLAM-associated protein). In humans, CS1 activates NK cells through an EAT-2-mediated pathway that is SAP-independent. CS1 recruits and associates with EAT-2, a protein closely related to SAP. EAT-2 induces phosphorylation of CS1 which then, upon ligand binding, activates downstream cytotoxicity effectors PLC and PI 3K. In mice, the EAT-2 association with CS1 has an inhibitory effect on the activation of NK cells.

Product Properties & Targets

Antibody Type
Host
Mouse
Applications
Species Reactivity
Isotype / Light Chain
IgG1 / Kappa
Cellular Localization
Membrane
Gene Name
Positive Control
Human tonsil tissue.
Immunogen
Recombinant fragment of human SLAMF7 protein (around aa 249-335) (exact sequence is proprietary)
Alternate Names
SLAM family member 7, CD2 subset 1, CD2-like receptor-activating cytotoxic cells, Membrane protein FOAP-12, Novel Ly9, Protein 19A, 19A; 19A24 protein; CD2 like receptor activating cytotoxic cells; CD2 subset 1; CRACC; CS1; Membrane protein FOAP 12; Novel LY9 (lymphocyte antigen 9) like protein; Protein 19A; SLAM family member 7

Database Links

Entrez Gene ID
SwissProt

Additional Information

Clone
SLAMF7/3649
Chromosome Location
1q23.3
Mol. Weight of Antigen
37kDa

Functions

  • Self-ligand receptor of the signaling lymphocytic activation molecule (SLAM) family. SLAM receptors triggered by homo- or heterotypic cell-cell interactions are modulating the activation and differentiation of a wide variety of immune cells and thus are involved in the regulation and interconnection of both innate and adaptive immune response. Activities are controlled by presence or absence of small cytoplasmic adapter proteins, SH2D1A/SAP and/or SH2D1B/EAT-2. Isoform 1 mediates NK cell activation through a SH2D1A-independent extracellular signal-regulated ERK-mediated pathway (PubMed:11698418). Positively regulates NK cell functions by a mechanism dependent on phosphorylated SH2D1B. Downstream signaling implicates PLCG1, PLCG2 and PI3K (PubMed:16339536). In addition to heterotypic NK cells-target cells interactions also homotypic interactions between NK cells may contribute to activation. However, in the absence of SH2D1B, inhibits NK cell function. Acts also inhibitory in T-cells (By similarity). May play a role in lymphocyte adhesion (PubMed:11802771). In LPS-activated monocytes negatively regulates production of pro-inflammatory cytokines (PubMed:23695528).
  • Isoform 3 does not mediate any NK cell activation.

Key References

  • Hsi ED, et al. Clin Cancer Res. 2008;14(9):2775 2784.

Storage & Stability

Antibody with azide - store at 2 to 8°C. Antibody without azide - store at -20 to -80°C. Antibody is stable for 24 months. Non-hazardous. No MSDS required.

Limitations

This antibody is available for research use only and is not approved for use in diagnosis.

Supplied as

200ug/ml of Ab purified from Bioreactor Concentrate by Protein A/G. Prepared in 10mM PBS with 0.05% BSA & 0.05% azide. Also available WITHOUT BSA & azide at 1.0mg/ml.

Warranty

There are no warranties, expressed or implied, which extend beyond this description. Company is not liable for any personal injury or economic loss resulting from this product.

Reviews

There are no reviews yet.

Be the first to review “SLAMF7 / CS1 / CD319 Antibody”

Your email address will not be published. Required fields are marked *

PARTNERSHIP OPPORTUNITIES

NeoBiotechnologies holds Exclusive rights to 10,000 recombinant and hybridoma antibody products, available for Licensing or Collaboration.

LETS TALK