
Formalin-fixed, paraffin-embedded human skin stained with SERPINB5 / Maspin Mouse Monoclonal Antibody (SERPINB5/4972). HIER: Tris/EDTA, pH9.0, 45min. 2°C: HRP-polymer, 30min. DAB, 5min

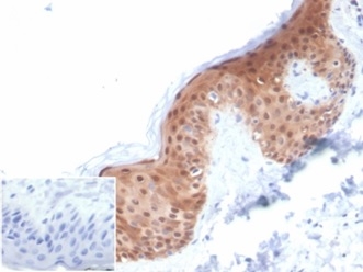
Formalin-fixed, paraffin-embedded human skin stained with SERPINB5 / Maspin Mouse Monoclonal Antibody (SERPINB5/4972). Inset: PBS instead of primary antibody; secondary only negative control.

Western blot analysis of PC3 cell lysate using SERPINB5 / Maspin Mouse Monoclonal Antibody (SERPINB5/4972).

Western blot analysis of SW732 cell lysate using SERPINB5 / Maspin Mouse Monoclonal Antibody (SERPINB5/4972).

Analysis of Protein Array containing more than 19,000 full-length human proteins using SERPINB5 / Maspin Mouse Monoclonal Antibody (SERPINB5/4972). Z- and S- Score: The Z-score represents the strength of a signal that a monoclonal antibody (MAb) (in combination with a fluorescently-tagged anti-IgG secondary antibody) produces when binding to a particular protein on the HuProtTM array. Z-scores are described in units of standard deviations (SD's) above the mean value of all signals generated on that array. If targets on HuProtTM are arranged in descending order of the Z-score, the S-score is the difference (also in units of SD's) between the Z-score. S-score therefore represents the relative target specificity of a MAb to its intended target. A MAb is considered to specific to its intended target, if the MAb has an S-score of at least 2.5. For example, if a MAb binds to protein X with a Z-score of 43 and to protein Y with a Z-score of 14, then the S-score for the binding of that MAb to protein X is equal to 29.
Maspin is structurally a serine protease inhibitor (serpin) that was initially isolated from normal human mammary epithelial cells. Serpins are a family of proteins that inhibit Chymotrypsin-like serine proteinases. Serpins control activated proteinases and several are involved in the regulation of cell death. Maspin is found in the extracellular matrix and at the plasma membrane. Maspin has been shown to act at the cell surface to block cell motility and inhibit invasion of breast and prostate cancer cells. Maspin is present in normal mammary epithelial cells but is absent in many tumor cell lines, yet no major structural alterations of the Maspin gene have been identified in tumor cells. Similarly, Maspin is expressed in normal prostate cells and downregulated or absent in prostate tumor cells.
There are no reviews yet.